Εμβρυικοί Όγκοι Εγκεφάλου, Μυελοβλάστωμα & Υπερσκηνιδιακά PNETs
Εξειδικευμένη παιδονευροχειρουργική φροντίδα για επιθετικούς εμβρυικούς όγκους του εγκεφάλου, με στόχο τη μέγιστη δυνατή ίαση και τη μακροπρόθεσμη ποιότητα ζωής του παιδιού.
Οι αρχέγονοι νευροεκτοδερμικοί όγκοι(PNETs) και το μυελοβλάστωμα είναι κακοήθεις, αλλά θεραπεύσιμοι όγκοι του κεντρικού νευρικού συστήματος στα παιδιά. Το μυελοβλάστωμα εντοπίζεται συνήθως στην παρεγκεφαλίδα (οπίσθιος βόθρος), ενώ τα υπερσκηνιδιακά PNETs βρίσκονται στα εγκεφαλικά ημισφαίρια. Με τη σύγχρονη χειρουργική, την ακτινοθεραπεία και τη χημειοθεραπεία, σημαντικό ποσοστό παιδιών μπορεί να ζήσει μακροχρόνια χωρίς εξέλιξη της νόσου.
Τι είναι το μυελοβλάστωμα και τα υπερσκηνιδιακά PNETs;
Εμβρυικοί, κακοήθεις όγκοι του κεντρικού νευρικού συστήματος με τάση για ταχεία ανάπτυξη, αλλά και σημαντικές πιθανότητες ίασης με συνδυασμένη θεραπεία.
Οι αρχέγονοι νευροεκτοδερμικοί όγκοι(PNETs) είναι κακοήθεις μάζες που προέρχονται από ανώριμα νευροεκτοδερμικά κύτταρα. Ανάλογα με τη θέση τους:
- όταν βρίσκονται κάτω από το σκηνίδιο της παρεγκεφαλίδας και επεκτείνονται στην τέταρτη κοιλία, ονομάζονται κλασικά μυελοβλάστωμα,
- όταν εντοπίζονται πάνω από το σκηνίδιο της παρεγκεφαλίδας (στα ημισφαίρια, τον θάλαμο ή την περιοχή των πλαγίων κοιλιών), ονομάζονται υπερσκηνιδιακά PNETs (sPNETs).
Και οι δύο τύποι έχουν την τάση να διασπείρονται μέσω του εγκεφαλονωτιαίου υγρού (ΕΝΥ) σε άλλα σημεία του εγκεφάλου ή στη σπονδυλική στήλη, γι’ αυτό και η θεραπεία δεν περιορίζεται μόνο στο χειρουργείο, αλλά συμπληρώνεται με ακτινοθεραπεία και χημειοθεραπεία.
Πόσο συχνά είναι και σε ποιες ηλικίες εμφανίζονται;
Ένας από τους συχνότερους κακοήθεις όγκους εγκεφάλου στα παιδιά, αλλά σπάνιοι στον γενικό πληθυσμό.
Το μυελοβλάστωμα αποτελεί περίπου το 15–30% όλων των πρωτοπαθών όγκων εγκεφάλου στα παιδιά και μέχρι 50% των όγκων του οπισθίου βόθρου. Η μέση ηλικία διάγνωσης είναι περίπου 5 με 7 έτη.
Τα υπερσκηνιδιακά PNETs είναι σπανιότερα (περίπου 2,5–6% των παιδιατρικών όγκων εγκεφάλου) και εμφανίζονται συνήθως σε ακόμη μικρότερες ηλικίες, συχνά σε παιδιά < 5 ετών. Παρά τη σπανιότητά τους, απαιτούν ιδιαίτερα οργανωμένη και επιθετική θεραπεία.
Ποια είναι τα συνήθη συμπτώματα;
Συμπτώματα αυξημένης ενδοκρανιακής πίεσης, διαταραχές ισορροπίας ή εστιακά νευρολογικά σημεία, συχνά με σχετικά σύντομη διάρκεια.
Επειδή οι όγκοι αυτοί μεγαλώνουν σχετικά γρήγορα, τα συμπτώματα αναπτύσσονται μέσα σε εβδομάδες ή λίγους μήνες. Συχνά σημεία και συμπτώματα:
- Πονοκέφαλος (συχνά πρωινός, που ξυπνά το παιδί από τον ύπνο),
- επαναλαμβανόμενοι έμετοι χωρίς άλλο προφανές αίτιο,
- αστάθεια, δυσκολία στο περπάτημα ή αταξία (το παιδί «ταλαντεύεται» όταν προσπαθεί να σταθεί ή να περπατήσει),
- αλλαγές στη συμπεριφορά, κόπωση, μειωμένη διάθεση για παιχνίδι ή φαγητό,
- διπλωπία, νυσταγμός, στραβισμός ή άλλες διαταραχές κινήσεων των ματιών,
- σε υπερσκηνιδιακά PNETs: εστιακά νευρολογικά ελλείμματα (αδυναμία χεριού/ποδιού, επιληπτικές κρίσεις, αλλαγές λόγου ή συμπεριφοράς),
- σε περιπτώσεις διασποράς στη σπονδυλική στήλη: επίμονος ραχιαίος πόνος, δυσκολία στη βάδιση ή διαταραχές ουροδόχου κύστης.
Η παρουσία παρατεταμένων πονοκεφάλων, εμέτων και διαταραχών βάδισης σε παιδί απαιτεί άμεση αξιολόγηση από παιδίατρο και, εφόσον χρειαστεί, παιδονευροχειρουργό.
Γιατί εμφανίζονται – τι γνωρίζουμε σε μοριακό επίπεδο;
Δεν πρόκειται για «λάθος των γονιών», αλλά για πολύπλοκες γενετικές διαταραχές στα αναπτυσσόμενα κύτταρα του εγκεφάλου.
Στις περισσότερες περιπτώσεις, η αιτία δεν είναι γνωστή. Δεν σχετίζεται με τραυματισμό, διατροφή ή κάτι που «έκανε» ή «δεν έκανε» η οικογένεια. Πρόκειται για τυχαίες γενετικές αλλοιώσεις κατά τη διάρκεια της ανάπτυξης του εγκεφάλου.
Στο μυελοβλάστωμα, η σύγχρονη έρευνα έχει δείξει ότι δεν πρόκειται για μία μόνο νόσο αλλά για τουλάχιστον τέσσερις μοριακές υποομάδες:
- WNT – γενικά με πολύ καλή πρόγνωση,
- SHH (sonic hedgehog) – ενδιάμεση πρόγνωση,
- Group 3 & Group 4 – με πιο επιθετική συμπεριφορά, ιδίως η Group 3.
Ορισμένες χρωμοσωμικές ανωμαλίες (π.χ. διαγραφή στο 17p, ενίσχυση των γονιδίων MYC) σχετίζονται με πιο επιθετική νόσο. Σε μικρό ποσοστό παιδιών, το μυελοβλάστωμα εμφανίζεται στο πλαίσιο κληρονομικών συνδρόμων, όπως το Gorlin ή το Turcot – σε αυτές τις περιπτώσεις χρειάζεται εξειδικευμένος γενετικός έλεγχος.
Η κατανόηση των μοριακών υποομάδων βοηθά πλέον να προσαρμόζονται οι θεραπείες: σε ορισμένες ομάδες μπορεί να μειωθεί η ένταση της θεραπείας, ενώ σε άλλες να εξετάζονται πιο στοχευμένες θεραπείες στο πλαίσιο κλινικών μελετών.
Πώς γίνεται η διάγνωση και ο αρχικός έλεγχος;
Σύγχρονη απεικόνιση εγκεφάλου και σπονδυλικής στήλης, χειρουργική βιοψία/εκτομή και διερεύνηση πιθανής διασποράς.
Η διαγνωστική προσέγγιση περιλαμβάνει συνήθως:
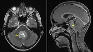
- Μαγνητική τομογραφία (MRI) εγκεφάλου με σκιαγραφικό – αναδεικνύει τη θέση, το μέγεθος και τα χαρακτηριστικά του όγκου (συχνά συμπαγής, ετερογενώς ενισχυόμενος, με πιθανές κύστεις ή αποτιτανώσεις).
- ΜRI όλης της σπονδυλικής στήλης πριν το χειρουργείο, για να ελεγχθεί αν υπάρχει διασπορά κατά μήκος του εγκεφαλονωτιαίου υγρού (οζίδια ή «πρόσληψη» των μηνίγγων).
- Σε δεύτερο χρόνο, μετά τη χειρουργική αποσυμπίεση, μπορεί να γίνει οσφυονωτιαία παρακέντηση για κυτταρολογική εξέταση του ΕΝΥ, εφόσον είναι ασφαλές.
Η οριστική διάγνωση τίθεται από τον ιστολογικό και μοριακό έλεγχο του όγκου που αφαιρείται στο χειρουργείο. Σε εξειδικευμένα κέντρα, το δείγμα αποστέλλεται για ανοσοϊστοχημεία και μοριακή ταξινόμηση, που επηρεάζουν το τελικό θεραπευτικό πλάνο.
Πώς σταδιοποιείται η νόσος – τι σημαίνει “χαμηλού” και “υψηλού” κινδύνου;
Ο συνδυασμός ηλικίας, έκτασης εκτομής και διασποράς καθορίζει την κατηγορία κινδύνου και την ένταση της θεραπείας.
Παραδοσιακά χρησιμοποιείται το σύστημα Chang, που λαμβάνει υπόψη το μέγεθος του όγκου (Τ στάδιο) και τον βαθμό διασποράς μέσω του ΕΝΥ (Μ στάδιο). Στην κλινική πράξη, όμως, τα παιδιά ταξινομούνται συχνά σε δύο βασικές ομάδες:
- Average-risk (μέσου κινδύνου): ηλικία > 3–5 ετών, σχεδόν πλήρης εκτομή (υπόλειμμα <~ 1,5 cm²) και χωρίς ενδείξεις διασποράς στο ΕΝΥ ή τη σπονδυλική στήλη.
- High-risk (υψηλού κινδύνου): ηλικία < 3 ετών, μεγαλύτερο χειρουργικό υπόλειμμα ή/και παρουσία μεταστάσεων στο ΕΝΥ ή στη σπονδυλική στήλη.
Η κατηγορία κινδύνου επηρεάζει:
- τη δόση και την κατανομή της ακτινοθεραπείας,
- την ένταση και τον αριθμό κύκλων χημειοθεραπείας,
- τη συζήτηση για συμμετοχή σε κλινικές μελέτες.
Ποιες είναι οι βασικές θεραπευτικές επιλογές;
Συνδυασμός χειρουργικής θεραπείας, ακτινοθεραπείας και χημειοθεραπείας, προσαρμοσμένος στην ηλικία και τον κίνδυνο της νόσου.
Η αντιμετώπιση οργανώνεται πάντα σε πολυεπιστημονικό συμβούλιο με παιδονευροχειρουργούς, παιδοογκολόγους, παιδοακτινοθεραπευτές, νευροακτινολόγους, ενδοκρινολόγους και ομάδα υποστηρικτικών ειδικοτήτων.
Ο γενικός άξονας θεραπείας περιλαμβάνει:
- Μέγιστη ασφαλής χειρουργική εκτομή του όγκου, με ταυτόχρονη αντιμετώπιση της υδροκεφαλίας (εξωτερική παροχέτευση, ενδοσκοπική τρίτη κοιλιοστομία ή μόνιμη βαλβίδα, όπου χρειάζεται).
- Ακτινοθεραπεία στον οπίσθιο βόθρο ή την κοιλότητα εκτομής και σε ολόκληρο τον κρανιοσπονδυλικό άξονα (craniospinal irradiation), σε κατάλληλες ηλικίες.
- Χημειοθεραπεία σε κύκλους, συχνά υψηλής δόσης, με ή χωρίς αυτόλογη μεταμόσχευση βλαστικών κυττάρων, ανάλογα με το πρωτόκολλο.
Σε πολύ μικρά παιδιά, γίνεται προσπάθεια να καθυστερήσει ή να περιοριστεί η ακτινοθεραπεία (λόγω κινδύνου σοβαρής νευρογνωστικής βλάβης) με εντατικοποιημένη χημειοθεραπεία και, όπου είναι διαθέσιμο, ακτινοθεραπεία δέσμης πρωτονίων.
Ποιος είναι ο ρόλος της χειρουργικής επέμβασης;
Η μέγιστη ασφαλής εκτομή είναι από τους πιο σημαντικούς προγνωστικούς παράγοντες – αλλά πάντα με προτεραιότητα την ασφάλεια του παιδιού.
Στόχος του χειρουργείου είναι:
- να αφαιρεθεί όσο το δυνατόν περισσότερο τμήμα από τον όγκο (ιδανικά πλήρης εκτομή),
- να αποσυμπιεστεί ο εγκέφαλος και να αντιμετωπιστεί η υδροκεφαλία,
- να ληφθεί επαρκές δείγμα για ακριβή ιστολογική και μοριακή διάγνωση.
Στη Neuroknife δίνουμε έμφαση:
- στη χρήση νευροπλοήγησης, μικροσκοπίου υψηλής ευκρίνειας και, όταν είναι διαθέσιμο, ενδοεγχειρητικής απεικόνισης,
- στη διατήρηση κρίσιμων νευρικών δομών (πυρήνες παρεγκεφαλίδας, στέλεχος, κρανιακά νεύρα),
- στην ισορροπία μεταξύ εκτεταμένης εκτομής και νευρολογικής ασφάλειας.
Ακόμη κι αν παραμείνει μικρό υπόλειμμα όγκου, η συνδυασμένη ακτινοθεραπεία και χημειοθεραπεία στοχεύει στην εξάλειψη των εναπομείναντων καρκινικών κυττάρων.
Τι περιλαμβάνει η ακτινοθεραπεία και η χημειοθεραπεία;
Στοχευμένη ακτινοβόληση ολόκληρου του κεντρικού νευρικού συστήματος και της κοιλότητας εκτομής, σε συνδυασμό με εξειδικευμένα χημειοθεραπευτικά σχήματα.
Μετά την ανάρρωση από το χειρουργείο, σχεδιάζεται η ακτινοθεραπεία από εξειδικευμένο παιδοακτινοθεραπευτή:
- ακτινοβόληση ολόκληρου του κρανιοσπονδυλικού σωλήνα (craniospinal irradiation), διότι τα κύτταρα του όγκου μπορούν να διασπαρούν δια του ΕΝΥ,
- επιπλέον «boost» δόση στην περιοχή της κοιλότητας εκτομής ή στον οπίσθιο βόθρο,
- σε μικρότερα παιδιά, χρήση θεραπείας πρωτονίων όπου είναι εφικτό για να μειωθεί η δόση σε υγιείς ιστούς.
Η χημειοθεραπεία χορηγείται σε κύκλους από παιδοογκολόγους, με στοχευμένα πρωτόκολλα που εξαρτώνται από:
- την ηλικία και τη γενική κατάσταση του παιδιού,
- την κατηγορία κινδύνου,
- τη μοριακή υποομάδα του όγκου.
Σε ορισμένα πρωτόκολλα, ιδίως σε υψηλού κινδύνου ή πολύ μικρά παιδιά, μπορεί να χρησιμοποιηθεί υψηλής δόσης χημειοθεραπεία με υποστήριξη από αυτόλογη μεταμόσχευση αιμοποιητικών βλαστικών κυττάρων.
Ποιες είναι οι πιθανές επιπλοκές και οι όψιμες συνέπειες;
Η θεραπεία στοχεύει στη ίαση, αλλά απαιτεί προσεκτική παρακολούθηση για νευρολογικές, ενδοκρινολογικές και γνωστικές επιπτώσεις.
Βραχυπρόθεσμα, οι κυριότεροι κίνδυνοι σχετίζονται με:
- το ίδιο το χειρουργείο (αιμορραγία, λοίμωξη, επιδείνωση νευρολογικής εικόνας),
- την ακτινοθεραπεία (κόπωση, ναυτία, απώλεια μαλλιών),
- τη χημειοθεραπεία (μυελοκαταστολή, λοιμώξεις, ναυτία, απώλεια όρεξης).
Μακροπρόθεσμα, επειδή οι θεραπείες εφαρμόζονται σε έναν αναπτυσσόμενο οργανισμό, δίνεται ιδιαίτερη προσοχή σε:
- νευρογνωστική λειτουργία (μνήμη, συγκέντρωση, σχολική επίδοση),
- ενδοκρινολογική λειτουργία (αυξητική ορμόνη, θυρεοειδής, ήβη),
- ακοή, όραση, ισορροπία, λεπτή κινητικότητα,
- δευτερογενείς όγκους σε πολύ μακροχρόνιους επιζώντες.
Για αυτόν τον λόγο, τα παιδιά μετά την ολοκλήρωση της θεραπείας παρακολουθούνται συστηματικά σε μακροπρόθεσμο επανέλεγχο με παιδοογκολόγο, ενδοκρινολόγο, νευροψυχολόγο και άλλες ειδικότητες, ώστε να αντιμετωπίζονται έγκαιρα τυχόν δυσκολίες και να υποστηρίζεται η ένταξή τους στο σχολείο και στην κοινωνική ζωή.
Ποια είναι η πρόγνωση και τι σημαίνει για το μέλλον του παιδιού;
Παρά την επιθετική φύση των όγκων, τα ποσοστά μακροχρόνιας ίασης είναι σημαντικά σε υψηλά σε σύγχρονα θεραπευτικά κέντρα – ιδίως όταν ο όγκος έχει αφαιρεθεί πλήρως και δεν υπάρχει διασπορά.
Σε παιδιά με μυελοβλάστωμα μέσου κινδύνου, με πλήρη ή σχεδόν πλήρη εκτομή και χωρίς διασπορά στο ΕΝΥ, τα ποσοστά 5ετούς επιβίωσης με σύγχρονα πρωτόκολλα μπορούν να φθάσουν ή και να υπερβούν το 70–80%.
Σε παιδιά με υψηλού κινδύνου χαρακτηριστικά (μικρή ηλικία, υπολειπόμενος όγκος, μεταστάσεις), τα ποσοστά είναι χαμηλότερα, αλλά έχουν βελτιωθεί σημαντικά με τη χρήση εντατικοποιημένων πρωτοκόλλων και στοχευμένης ακτινοθεραπείας.
Τα υπερσκηνιδιακά PNETs ιστορικά είχαν χειρότερη πρόγνωση από το μυελοβλάστωμα, όμως με την εφαρμογή σύγχρονων θεραπευτικών πρωτοκόλλων και καλύτερου μοριακού χαρακτηρισμού, τα αποτελέσματα βελτιώνονται σταδιακά.
Κάθε παιδί είναι ξεχωριστό. Η ομάδα μας αφιερώνει χρόνο για να εξηγήσει τα προσωπικά δεδομένα πρόγνωσης (τύπος όγκου, μοριακές υποομάδες, έκταση εκτομής, ανταπόκριση στη θεραπεία) και να σχεδιάσει μαζί με την οικογένεια το επόμενο βήμα, τόσο ιατρικά όσο και ψυχοκοινωνικά.
Τι να ρωτήσω τον παιδονευροχειρουργό και την ογκολογική ομάδα;
Χρήσιμες ερωτήσεις για γονείς
- Τι ακριβώς δείχνει η μαγνητική τομογραφία και ποιος είναι ο πιθανός τύπος όγκου;
- Ποιος είναι ο στόχος του χειρουργείου και ποιοι είναι οι κυριότεροι κίνδυνοι;
- Θα χρειαστεί η τοποθέτηση βαλβίδας ή άλλης μόνιμης παροχέτευσης ΕΝΥ;
- Σε ποια κατηγορία κινδύνου ανήκει το παιδί μου και γιατί;
- Ποιο πρωτόκολλο ακτινοθεραπείας και χημειοθεραπείας προτείνετε και σε ποιο κέντρο;
- Ποιες είναι οι πιθανές βραχυπρόθεσμες και μακροπρόθεσμες επιπτώσεις της θεραπείας;
- Πώς θα παρακολουθούμε στη συνέχεια την ανάπτυξη, τη μάθηση και την ορμονική λειτουργία;
- Υπάρχει δυνατότητα συμμετοχής σε κλινικές μελέτες ή πρόσβαση σε θεραπεία δέσμης πρωτονίων;
Η ομάδα Neuroknife συνοδεύει την οικογένεια σε όλη τη διαδρομή: από τη δύσκολη στιγμή της διάγνωσης, στο χειρουργείο και τις νοσηλείες, μέχρι τη μακροχρόνια παρακολούθηση και την επανένταξη του παιδιού στο σχολείο και στην καθημερινότητα. Στόχος μας είναι όχι μόνο η ίαση της νόσου, αλλά και η πιο πλήρης, αξιοπρεπής και ποιοτική ζωή που μπορεί να έχει το παιδί μετά τη θεραπεία.
Πότε να ζητήσετε εξειδικευμένη παιδονευροχειρουργική γνώμη;
Αν το παιδί σας έχει διαγνωστεί με μυελοβλάστωμα ή PNET, ή αν υπάρχει υποψία όγκου εγκεφάλου με βάση τη μαγνητική τομογραφία, είναι κρίσιμο να αξιολογηθεί από ομάδα με εμπειρία στην παιδική νευροογκολογία.
Στη Neuroknife οργανώνουμε γρήγορο δεύτερο γνωμοδοτικό έλεγχο, ανασκόπηση εικόνων και ιστολογίας, συζήτηση σε διεπιστημονικό συμβούλιο και στενή συνεργασία με παιδοογκολόγους και εξειδικευμένα κέντρα στο εξωτερικό όπου χρειάζεται.
Κλείστε ραντεβού ή ζητήστε δεύτερη γνώμη© Neuroknife — Πρωτότυπο ιατρικό περιεχόμενο των ιατρών μας, παρέχεται αποκλειστικά για εκπαίδευση και ενημέρωση ασθενών.
