Αποστολή του Neuroknife Group
Να προσφέρουμε στην Ελλάδα το επίπεδο νευροχειρουργικής φροντίδας που συναντά κανείς στα κορυφαία ακαδημαϊκά κέντρα των ΗΠΑ – χωρίς να χρειάζεται ο ασθενής να ταξιδέψει στο εξωτερικό – με απόλυτη προσήλωση στην ασφάλεια, την αριστεία και σεβασμό στον άνθρωπο.
Το Neuroknife Group δημιουργήθηκε για να λειτουργεί ως ένα αυθεντικά αμερικανικό, ακαδημαϊκού τύπου νευροχειρουργικό κέντρο στην Ελλάδα – με την προσβασιμότητα μιας εξειδικευμένης ιδιωτικής ομάδας.
Το Neuroknife Group ιδρύθηκε από τον Δρ. Ιωάννη Καράμπελα, MD, FAANS, U.S. board-certified νευροχειρουργό με εξειδίκευση στην κλινική νευροχειρουργική ογκολογία στο Roswell Park Cancer Center και την ερευνετική νευροχειρουργική παίδων στο Memorial Sloan Kettering Cancer Center της Νέας Υόρκης, με στόχο να δημιουργήσει στην Ελλάδα ένα αυθεντικά αμερικανικό, ακαδημαϊκού τύπου νευροχειρουργικό κέντρο.
Στο όραμα αυτό προσχώρησε ως συνιδρυτής ο Δρ. Γεώργιος Αλεξόπουλος, MD, MSc, επίσης νευροχειρουργός με εκπαίδευση σε ACGME-accredited προγράμματα των ΗΠΑ και fellowship παιδονευροχειρουργικής στο Boston Children’s Hospital του Πανεπιστημίου Harvard. Οι δύο συνιδρυτές μοιράζονται την ίδια φιλοδοξία: να μεταφέρουν στην πατρίδα τους την πιο προχωρημένη, ακαδημαϊκού επιπέδου, νευροχειρουργική φροντίδα.
Ιδιαίτερη έμφαση δίνεται σε δύο πυλώνες αριστείας:
- Παιδιατρική Νευροχειρουργική & Νευροχειρουργική Νεογνών, με εμπειρία από το Boston Children’s Hospital / Harvard Medical School, καλύπτοντας από συγγενείς ανωμαλίες και υδροκέφαλο μέχρι σύνθετες ενδοσκοπικές επεμβάσεις σε βρέφη και παιδιά. Το Boston Children’s Hospital κατατάσσεται σταθερά μεταξύ των κορυφαίων παιδιατρικών νοσοκομείων των ΗΠΑ.
- Νευροχειρουργική Ογκολογία, με κλινική εμπειρία στο Roswell Park Cancer Center και ερευνητική στο Memorial Sloan Kettering Cancer Center, εφαρμόζοντας τεχνικές που στοχεύουν στη μέγιστη δυνατή αφαίρεση όγκων με τη βέλτιστη ασφάλεια. Το Memorial Sloan Kettering συγκαταλέγεται διαχρονικά στα κορυφαία αντικαρκινικά κέντρα των ΗΠΑ.
Στόχος από την αρχή ήταν η δημιουργία ενός κέντρου νευροχειρουργικής φροντίδας που να εφαρμόζει στην Ελλάδα τα ίδια πρωτόκολλα, τα ίδια standards ποιότητας και την ίδια ακαδημαϊκή κουλτούρα που διέπουν τα κορυφαία αντικαρκινικά και πανεπιστημιακά νοσοκομεία των ΗΠΑ.
Γύρω από αυτό το όραμα δημιουργήθηκε μια ομάδα τεσσάρων νευροχειρουργών, με κοινά χαρακτηριστικά την υψηλή κατάρτιση και συνεχή συνεργασία. Δύο νευροχειρουργοί με εκπαίδευση στις ΗΠΑ και δύο άριστα καταρτισμένοι νευροχειρουργοί με ελληνική και ευρωπαϊκή εκπαίδευση συμπληρώνουν ο ένας τον άλλον, καλύπτοντας όλο το φάσμα της σύγχρονης νευροχειρουργικής σε ενήλικες και παιδιά.
Παράλληλα, η Neuroknife ενσωματώνει μία πλήρως οργανωμένη κρανιοπροσωπική/γναθοπροσωπική χειρουργική ομάδα, ώστε τα σύνθετα περιστατικά βάσης κρανίου, κεφαλής–τραχήλου και οι απαιτητικές ανακατασκευές να αντιμετωπίζονται με ενιαία στρατηγική. Δίνουμε προτεραιότητα στην ασφάλεια και χειρουργική ακρίβεια έχοντας ως στόχο τη βέλτιστη λειτουργική έκβαση και αποκατάσταση.
Κάθε ασθενής αξιολογείται όπως θα αξιολογούνταν σε ένα κορυφαίο αμερικανικό κέντρο, με χρήση σύγχρονων τεχνικών, διεπιστημονική προσέγγιση και απόλυτη διαφάνεια στις κλινικές αποφάσεις.
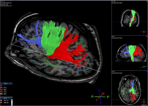
Σήμερα εφαρμόζουμε τεχνικές μικροχειρουργικής, 5-ALA φθορισμού, δεσμιδογραφίας εγκεφάλου, O-arm νευροπλοήγησης και διεγχειρητικής νευροφυσιολογικής παρακολούθησης, όπως αυτές εφαρμόζονται σε διεθνή κέντρα αναφοράς.
Ο σκοπός μας δεν είναι απλώς να «τελέσουμε» μια επέμβαση, αλλά να σχεδιάσουμε το βέλτιστο θεραπευτικό πλάνο για κάθε ασθενή, με γνώμονα την ποιότητα ζωής, την ασφάλεια και τη μακροπρόθεσμη έκβαση.

Σύγχρονα χειρουργικά μικροσκόπια, 5-ALA φθορισμός και νευροπλοήγηση για μέγιστη ακρίβεια.

Προσεκτικός προεγχειρητικός σχεδιασμός με MRI, δεσμιδογραφία και πολυπαραμετρικές εξετάσεις.

Μονάδα Εντατικής Νοσηλείας Νεογνών (ΜΕΝΝ) Νοσοκομείου Μητέρα. Εξειδικευμένη παιδιατρική και νεογνική νευροχειρουργική, με ενσωματωμένη κρανιοπροσωπική/γναθοπροσωπική συνεργασία για σύνθετες κρανιοπροσωπικές ανάγκες.
Πυλώνες Αριστείας & Φιλοσοφίας
Η αποστολή του Neuroknife Group εκφράζεται στην πράξη μέσα από συγκεκριμένους πυλώνες: ασφάλεια, αμερικανική εκπαίδευση, αριστεία σε ογκολογία και παιδιατρική, διεπιστημονική συνεργασία και εξατομικευμένα θεραπευτικά πλάνα.
Ασφάλεια Ασθενούς & Ποιοτικός Έλεγχος
Εφαρμόζουμε πρωτόκολλα ασφάλειας και κλινικά pathways εμπνευσμένα από τα ACGME προγράμματα των ΗΠΑ. Κάθε περιστατικό συζητείται σε διεπιστημονικό επίπεδο, με έμφαση στην προεγχειρητική προετοιμασία, τον περιορισμό των επιπλοκών και τη συστηματική παρακολούθηση των ασθενών.
Αμερικανική Εκπαίδευση, Ελληνική Φροντίδα
Συνδυάζουμε την τυποποίηση και την τεκμηριωμένη ιατρική των κέντρων όπως Memorial Sloan Kettering Cancer Center, Boston Children’s Hospital / Harvard Medical School, Case Western Reserve University και Medical University of South Carolina με την ανθρώπινη, προσωπική σχέση ιατρού-ασθενούς και την ελληνική ιατρική παράδοση.
Αριστεία στη Νευροχειρουργική Ογκολογία
Ο Δρ. Καράμπελας ολοκλήρωσε εξειδίκευση στην κλινική νευροχειρουργική ογκολογία στο Roswell Park Cancer Center και στην ερευνετική νευροχειρουργική παίδων στο Memorial Sloan Kettering της Νέας Υόρκης. Η εμπειρία αυτή μεταφέρεται στην καθημερινή κλινική πράξη, με σύγχρονες τεχνικές αφαίρεσης όγκων εγκεφάλου και σπονδυλικής στήλης με τη μέγιστη ασφάλεια.
Αριστεία στην Παιδιατρική Νευροχειρουργική & Νευροχειρουργική Νεογνών
Η ομάδα καλύπτει το πλήρες φάσμα της παιδιατρικής νευροχειρουργικής. Ο Δρ. Αλεξόπουλος ολοκλήρωσε εξειδίκευση στο παιδονευροχειρουργικό τμήμα του Boston Children’s Hospital. Έμφαση δίνεται στην ασφάλεια αναισθησίας, την ανάπτυξη και τη στενή συνεργασία με παιδονευρολόγους και παιδοογκολόγους.
Διεπιστημονική Προσέγγιση
Συνεργαζόμαστε στενά με ΩΡΛ, ογκολόγους, ακτινοθεραπευτές, αγγειοχειρουργούς, αναισθησιολόγους και ειδικούς πόνου, ώστε κάθε περίπλοκο περιστατικό να αντιμετωπίζεται ολιστικά – από τη διάγνωση μέχρι την αποκατάσταση. Στα σύνθετα περιστατικά κρανιακών παθήσεων και κεφαλής–τραχήλου, η ομάδα ενισχύεται με κρανιοπροσωπικό χειρουργό, για μία ενιαία, ολοκληρωμένη χειρουργική στρατηγική.
Εξατομικευμένα Πλάνα Θεραπείας
Κάθε ασθενής αξιολογείται μέσα από λεπτομερή συζήτηση, ανασκόπηση απεικονιστικών εξετάσεων και παρουσίαση εναλλακτικών επιλογών — προτείνοντας λύσεις προσαρμοσμένες στην ηλικία, την υγεία και τις προτεραιότητές του.
Τι Επιδιώκουμε Πρακτικά
Ο σκοπός του Neuroknife Group δεν είναι απλώς να αποτελέσει μία ακόμη νευροχειρουργική ομάδα, αλλά να γίνει το σημείο αναφοράς για ασθενείς που αναζητούν νευροχειρουργική φροντίδα υψηλού επιπέδου στην Ελλάδα, ισότιμη με αυτή κορυφαίων κέντρων του εξωτερικού.
- Να μειώσουμε την ανάγκη αναζήτησης θεραπείας στο εξωτερικό, προσφέροντας αντίστοιχες ή ανώτερες θεραπευτικές επιλογές στην Ελλάδα και πρόσβαση σε δεύτερη γνώμη από συνεργαζόμενα διεθνή κέντρα.
- Να ενσωματώνουμε διαρκώς νέες τεχνολογίες & τεκμηριωμένα πρωτόκολλα, μέσα από συνεχή ακαδημαϊκή δραστηριότητα, συνέδρια και συνεχιζόμενη εκπαίδευση.
- Να διατηρούμε μια ανθρώπινη, στενή σχέση με τους ασθενείς, με ειλικρινή ενημέρωση, χρόνο για ερωτήσεις και εξατομικευμένη παρακολούθηση μετά την επέμβαση.
Διεθνή & Ελληνικά Κέντρα Εκπαίδευσης & Συνεργασίας
Η εκπαίδευση και η κλινική εμπειρία της ομάδας βασίζεται σε κορυφαία ακαδημαϊκά και νοσοκομειακά κέντρα των ΗΠΑ και της Ελλάδας.


Αν επιθυμείτε αξιολόγηση περίπλοκου περιστατικού ή δεύτερη γνώμη, η ομάδα Neuroknife είναι στη διάθεσή σας για να συζητήσουμε αναλυτικά την περίπτωσή σας και τις διαθέσιμες επιλογές.
Κλείστε αξιολόγηση / second opinion με την ομάδα Neuroknife