ΕΚΠΑΙΔΕΥΣΗ ΑΣΘΕΝΩΝ

Επισκληρίδιο Αιμάτωμα

Το επισκληρίδιο αιμάτωμα είναι συλλογή αίματος ανάμεσα στο κρανίο και τη σκληρά μήνιγγα (το εξωτερικό περίβλημα του εγκεφάλου) το οποίο προκύπτει συνήθως μετά από κάκωση κεφαλής. Η κλινική του βαρύτητα σχετίζεται με το ότι μπορεί να αυξηθεί γρήγορα σε μέγεθος και να συμπιέσει τον εγκέφαλο. Σε ορισμένους ασθενείς παρατηρείται το κλασικό “διαυγές διάστημα (lucid interval)”: παροδική βελτίωση της νευρολογικής εικόνας μετά τη κάκωση που ακολουθείται απο ραγδαία επιδείνωση.

Στη Neuroknife, η αντιμετώπιση ξεκινά από το πρακτικό κλινικό ερώτημα: είναι ασφαλής η παρακολούθηση του ασθενούς ή χρειάζεται επείγουσα χειρουργική αντιμετώπιση; Η θεραπεία βασίζεται στη νευρολογική εικόνα (GCS, εστιακά νευρολογικά σημεία) σε συνδυασμό με αντικειμενικά κριτήρια από την απεικόνιση με CT εγκεφάλου (όγκος αιματώματος, πάχος/διάμετρος, μετατόπιση δομών μέσης γραμμής).

Κατάσταση που μπορεί να επιδεινωθεί ραγδαία Κύρια εξέταση: CT εγκεφάλου Κριτήρια απόφασης: GCS / μέγεθος κορών / μετατόπιση / όγκος αιματώματος Συχνά συνυπάρχει κάταγμα κρανίου Χειρουργείο όταν υπάρχουν ενδείξεις συμπίεσης του εγκεφάλου/στελέχους Ακόμη και “ήπια” κάκωση χρειάζεται στενή κλινική παρακολούθηση

Τι είναι το επισκληρίδιο αιμάτωμα;

Πρόκειται για αιμορραγία “ανάμεσα στο κρανίο και τη σκληρά μήνιγγα” δημιουργώντας συλλογή που μπορεί να ασκήσει σημαντική πίεση τον εγκέφαλο.

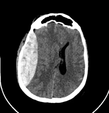
Το επισκληρίδιο αιμάτωμα (EDH) είναι συλλογή αίματος στον επισκληρίδιο χώρο. Με απλά λόγια, δημιουργείται μια αιμορραγική κοιλότητα ανάμεσα στο οστό του κρανίου και τη σκληρά μήνιγγα, το εξωτερικό περίβλημα του εγκεφάλου. Επειδή ο ενδοκράνιος χώρος είναι περιορισμένος, η αύξηση του αιματώματος μπορεί να οδηγήσει σε υψηλή ενδοκράνια πίεση με μετατόπιση των δομών του εγκεφάλου και πίεση επί του εγκεφαλικού στελέχους.

Κλινική σημασία: Το επισκληρίδιο αιμάτωμα είναι από τις τραυματικές καταστάσεις όπου η κλινική εικόνα μπορεί να μεταβληθεί ραγδαία. Ακόμη και σε περιπτώσεις ασθενών όπου η αρχική νευρολογική εξέταση είναι φυσιολογική, η στενή παρακολούθηση παραμένει ζωτικής σημασίας.

Πώς συμβαίνει; (αιτία και πηγή αιμορραγίας)

Η επισκληρίδια αιμορραγία προκαλείται συχνότερα μετά από κάκωση κεφαλής και μπορεί να είναι αρτηριακής ή φλεβικής προέλευσης.

Τα συχνότερα αίτια είναι τροχαία ατυχήματα, πτώσεις και κακώσεις από πλήξη. Το αιμάτωμα μπορεί να προκύψει ως συνέπεια τραυματισμού:

  • Μέσης μηνιγγικής αρτηρίας (κλασική αρτηριακή αιτιολογία),
  • Μηνιγγικών φλεβών ή διπλοϊκών φλεβών,
  • Φλεβωδών κόλπων σε ειδικές περιπτώσεις καταγμάτων.

Στα παιδιά και σε ορισμένες κατηγορίες τραυματικών κακώσεων, η αιμορραγία μπορεί να είναι φλεβικής προέλευσης. Αυτό μπορεί να επηρεάσει τον ρυθμό αύξησης του αιματώματος, όχι όμως και την ανάγκη για αυστηρή κλινική παρακολούθηση.

Συμπτώματα και “διαυγές διάστημα”

Το “διαυγές διάστημα” (lucid interval) περιγράφεται ως η κλασική κλινική παρουσίαση των ασθενών με επισκληρίδια αιμορραγία, αλλά δεν εμφανίζεται πάντοτε. Το πιο σημαντικό είναι η εξέλιξη του αιματώματος και της νευρολογικής εικόνας στο χρόνο.

Το επισκληρίδιο αιμάτωμα μπορεί να παρουσιαστεί με συμπτώματα όπως:

  • Κεφαλαλγία (συχνά επιδεινούμενη),
  • Ναυτία/εμετούς, υπνηλία, σύγχυση,
  • Εστιακή νευρολογική σημειολογία (π.χ. αδυναμία άκρου),
  • Διαταραχές στο μέγεθος των κορών (ανισοκορία) — ένδειξη επείγουσας αντιμετώπισης,
  • Επιληπτικούς σπασμούς σε ορισμένες περιπτώσεις.
Επείγον: Αν μετά από κάκωση κεφαλής εμφανιστεί επιδείνωση επιπέδου συνείδησης, ανισοκορία, αδυναμία ή επαναλαμβανόμενοι εμετοί, χρειάζεται άμεση εκτίμηση σε εξειδικευμένο νευροχειρουργικό κέντρο, όπως τα συνεργαζόμενα νοσοκομεία της Neuroknife.

Διάγνωση με CT — τι κοιτάμε στην απεικόνιση;

Η CT εγκεφάλου είναι η εξέταση “κλειδί”. Το μέγεθος και τα χαρακτηριστικά (όγκος/πάχος/μετατόπιση) του αιματώματος έχουν πρακτική σημασία στην λήψη των κλινικών αποφάσεων.

Η CT εγκεφάλου αποτελεί την εξέταση εκλογής. Το επισκληρίδιο αιμάτωμα απεικονίζεται τυπικά ως αμφίκυρτη (φακοειδής) υπέρπυκνη συλλογή η οποία δεν διασχίζει τις κρανιακές ραφές, μιας και η σκληρά μήνιγγα προσφύεται στενά στο οστό.

Στη Neuroknife δίνουμε ιδιαίτερη σημασία σε 3 απεικονιστικές μετρήσεις που επηρεάζουν άμεσα τις θεραπευτικές αποφάσεις:

  • Όγκος αιματώματος (σε mL),
  • Πάχος θρόμβου (σε mm),
  • Μετατόπιση δομών μέσης γραμμής (MLS) (σε mm) και απεικόνιση των βασικών δεξαμενών του εγκεφάλου.

Επίσης αξιολογούμε συστηματικά: πιθανές συνυπάρχουσες κακώσεις (θλάσεις, υπαραχνοειδή αιμορραγία, υποσκληρίδιο αιμάτωμα), καθώς και την παρουσία/πορεία συνοδού κατάγματος, ιδίως όταν αυτό διέρχεται μέσω αγγειακών δομών.

Πότε χρειάζεται χειρουργείο και πότε στενή παρακολούθηση;

Η θεραπευτική απόφαση λαμβάνεται έπειτα από συνδυασμό της νευρολογικής κλινικής εικόνας του ασθενούς, αντικειμενικών απεικονιστικών κριτηρίων στην CT εγκεφάλου και της εξέλιξης των συμπτωμάτων στο χρόνο.

Παρότι κάθε περίπτωση είναι πλήρως εξατομικευμένη, υπάρχουν πρακτικά κριτήρια που χρησιμοποιούνται ευρέως:

  • Όγκος αιματώματος > 30 mL: συνήθως απόλυτη ένδειξη για χειρουργική εκκένωση, ανεξαρτήτως νευρολογικής εικόνας.
  • Πάχος αιματώματος > 15 mm ή/και μετατόπιση δομών μέσης γραμμής > 5 mm: ένδειξη για χειρουργική εκκένωση.
  • Νευρολογική επιδείνωση, ανισοκορία, GCS < 9 ή νέα εστιακά νευρολογικά σημεία: αντιμετωπίζονται σε επείγουσα βάση.
Σημαντικό: Επισκληρίδιο αιμάτωμα στην κροταφική περιοχή τείνει να έχει χαμηλότερα “περιθώρια ασφαλείας” για κλινική παρακολούθηση. Σε τέτοιες εντοπίσεις, η ένδειξη για χειρουργική αντιμετώπιση τίθεται σε πρώιμο στάδιο, ιδιαίτερα όταν στην επαναληπτική αξονική τομογραφία εγκεφάλου διαπιστώνεται αύξηση του μεγέθους του αιματώματος.

Πώς προσεγγίζουμε τις κακώσεις στη Neuroknife;

Ο στόχος μας είναι η ξεκάθαρη και ασφαλέστερη κλινική αντιμετώπιση: στενή παρακολούθηση με θεραπευτικό πρωτόκολλο ή επείγουσα χειρουργική εκκένωση του αιματώματος.

Στην καθημερινή κλινική πράξη, η στρατηγική μας βασίζεται σε σαφή θεραπευτικά βήματα:

  • Αν υπάρχει επιδείνωση επιπέδου συνείδησης, ανισοκορία ή νέα αδυναμία, τότε δίνουμε προτεραιότητα στην άμεση αποσυμπίεση (χειρουργείο) — το μεσοδιάστημα που μεσολαβεί είναι εξαιρετικά κρίσιμο.
  • Αν ο ασθενής είναι κλινικά σταθερός (π.χ. GCS > 8), χωρίς εστιακό νευρολογικό έλλειμμα και το αιμάτωμα είναι μικρό στις απεικονίσεις (ενδεικτικά < 30 mL, < 15 mm, μετατόπιση δομών μέσης γραμμής < 5 mm), τότε μπορεί να επιλεγεί στενή κλινική παρακολούθηση αλλά μόνο σε εξειδικευμένο νευροχειρουργικό κέντρο με δυνατότητα επαναληπτικής CT και άμεσης χειρουργικής αντιμετώπισης.
  • Αν το αιμάτωμα βρίσκεται στην κροταφική περιοχή ή υπάρχει συνοδό κάταγμα που περιλαμβάνει σημαντικές αγγειακές δομές, τότε είμαστε πιο επιθετικοί στη λήψη κλινικών αποφάσεων που ευνοούν την άμεση χειρουργική εκκένωση.

Παράλληλα, οι θεραπευτικές αποφάσεις λαμβάνονται έπειτα απο συνοπολογισμό πολλών άλλων παραμέτρων: λαμβάνουμε υπόψη πιθανή αντιπηκτική/αντιαιμοπεταλιακή αγωγή, συνοδές κακώσεις, την ηλικία του ασθενούς, και μεταβολές στην κλινική εικόνα. Σε δύσκολες περιπτώσεις, ο σχεδιασμός είναι διεπιστημονικός (αναισθησιολογία/ΜΕΘ/νευροχειρουργική), ώστε ο ασθενής να μεταβεί στο κατάλληλο περιβάλλον στο σωστό χρόνο.

Η ασφαλής αντιμετώπιση ασθενών με επισκληρίδιο αιμάτωμα χρειάζεται δομημένο θεραπευτικό πρωτόκολλο που περιλαμβάνει τακτικούς νευρολογικούς επανελέγχους, σαφώς καθορισμένο πλάνο επαναληπτικής αξονικής τομογραφίας και χαμηλό κατώφλι αναθεώρησης της θεραπευτικής στρατηγικής.

Xειρουργική επέμβαση: στόχοι, ασφάλεια, πρόληψη επιπλοκών

Ο θεραπευτικός μας στόχος δεν είναι μόνο η χειρουργική αφαίρεση του αιματώματος, αλλά ο έλεγχος της αιμορραγίας και η πρόληψη υποτροπής/επανασυσσώρευσης.

Όταν υπάρχει χειρουργική ένδειξη για εκκένωση, η επέμβαση γίνεται με τη διενέργεια κρανιοτομίας σε επαρκές μέγεθος, ώστε να:

  • εκκενωθεί πλήρως ο θρόμβος,
  • αναγνωριστεί και ελεγχθεί η πηγή της αιμορραγίας (αρτηριακό/φλέβικό δίκτυο, διπλόη),
  • προληφθεί η υποτροπή της αιμορραγίας και επανασυσσώρευσης του αιματώματος (π.χ. dural tack-up sutures όπου ενδείκνυται).

Στη Neuroknife δίνουμε ιδιαίτερη έμφαση στην χειρουργική ασφάλεια: σωστό μέγεθος κρανιοτομίας, προσεκτικός έλεγχος της αιμορραγίας και σαφές πλάνο μετεγχειρητικής παρακολούθησης. Η χειρουργική εκκένωση, όταν πραγματοποιείται έγκαιρα, οδηγεί συνήθως σε εξαιρετική πρόγνωση και άμεση αποκατάσταση του νευροχειρουργικού ασθενή με επισκληρίδια αιμορραγία.

Ο χρόνος που μεσολαβεί έως την χειρουργική αντιμετώπιση έχει ιδιαίτερη κλινική σημασία σε ασθενείς με νευρολογική επιδείνωση: η καθυστερημένη εκκένωση μετά την εμφάνιση ανισοκορίας/νευρολογικής σημειολογίας/έκπτωσης επιπέδου συνείδησης σχετίζεται με χειρότερη έκβαση. Γι’ αυτό η αντιμετώπιση ασθενών με κρανιοεγκεφαλικές κακώσεις πρέπει να γίνεται σε εξειδικευμένο νευροχειρουργικό κέντρο, όπως τα συνεργαζόμενα νοσοκομεία της Neuroknife.

Παρακολούθηση χωρίς χειρουργείο: τι περιλαμβάνει;

Η συντηρητική αντιμετώπιση σημαίνει αυστηρή επιτήρηση με τακτικούς νευρολογικούς επανελέγχους σε εξειδικευμένο νευροχειρουργικό κέντρο.

Σε επιλεγμένους ασθενείς (π.χ. πλήρη εγρήγορση, χωρίς εστιακό έλλειμμα, μικρό μέγεθος αιματώματος), η συντηρητική αντιμετώπιση μπορεί να είναι ασφαλής μόνο όταν συνυπάρχουν:

  • Συνεχής κλινική παρακολούθηση (νευρολογικοί έλεγχοι με συχνότητα που ορίζει η ιατρική ομάδα),
  • Δυνατότητα για άμεση επαναληπτική CT εγκεφάλου,
  • Δυνατότητα για άμεση χειρουργική αντιμετώπιση αν παρατηρηθεί αύξηση του μεγέθους του αιματώματος ή κλινική επιδείνωση.
Πότε ο ασθενής είναι υποψήφιος για χειρουργείο: αν εμφανιστεί σημαντική νευρολογική επιδείνωση, νέα εστιακή σημειολογία, αύξηση μεγέθους του αιματώματος ή αύξηση μετατόπισης δομών μέσης γραμμης, τότε η απόφαση για παρακολούθηση ενδέχεται να αναθεωρηθεί άμεσα.

Ανάρρωση, πρόγνωση και αποκατάσταση

Γενικά όταν υπάρχει έγκαιρη διάγνωση και σωστή θεραπευτική αντιμετώπιση, η έκβαση των ασθενών με επισκληρίδιο αιμάτωμα είναι εξαιρετική.

Η πρόγνωση εξαρτάται κυρίως από την νευρολογική εικόνα κατά την παρουσίαση (GCS), πιθανή εστιακή νευρολογική σημειολογία, την συνύπαρξη συνοδών κακώσεων και τον χρόνο που μεσολάβησε έως την χειρουργική αποσυμπίεση ιδιαίτερα όταν υπάρχει ραγδαία κλινική επιδείνωση.

Μετά από χειρουργείο ή συντηρητική αντιμετώπιση, η πορεία των ασθενών είναι εξατομικευμένη και περιλαμβάνει: έλεγχο συμπτωμάτων, σταδιακή κινητοποίηση, οδηγίες προς αποφυγή νέας κάκωσης και πλάνο επανελέγχου. Η επιστροφή στην καθημερινότητα καθορίζεται από τη συνολική βαρύτητα της κάκωσης και την κλινική εικόνα κατά την παρουσίαση.

Συχνές ερωτήσεις (FAQ)

Είναι πάντα απαραίτητο το χειρουργείο σε ασθενείς με επισκληρίδιο αιμάτωμα;

Όχι. Σε επιλεγμένες περιπτώσεις ασθενών με μικρό αιμάτωμα, σταθερή νευρολογική εικόνα και ευνοϊκά κριτήρια στην CT, μπορεί να προταθεί στενή παρακολούθηση σε εξειδικευμένο νευροχειρουργικό κέντρο. Η απόφαση πρέπει να είναι αυστηρά εξατομικευμένη, μιας και η επιδείνωση σε ασθενείς με επισκληρίδιο αιμάτωμα μπορεί να είναι ραγδαία.

Ποια ευρήματα στην CT αυξάνουν την πιθανότητα χειρουργείου;

Ενδεικτικά, όγκος αιματώματος > 30 mL, πάχος > 15 mm, μετατόπιση δομών μέσης γραμμής (MLS) > 5 mm, εικόνα συμπίεσης βασικών δεξαμενών, καθώς και συνυπάρχουσες βλάβες. Τα απεικονιστικά ευρύματα συνεκτιμώνται πάντοτε σε σχέση με την κλινική εικόνα.

Τι σημαίνει “διαυγές διάστημα”;

Είναι το κλασικό μοτίβο όπου ο ασθενής μετά την κάκωση μπορεί να βελτιωθεί προσωρινά και στη συνέχεια να επιδεινωθεί ραγδαία. Δεν εμφανίζεται σε όλους τους ασθενείς. Η παρακολούθηση πρέπει να βασίζεται στην εξέλιξη των νευρολογικών συμπτωμάτων και την μεταβολή του μεγέθους του αιματώματος στην αξονική τομογραφία.

Πότε πρέπει να πάω άμεσα στο νοσοκομείο μετά από χτύπημα στο κεφάλι;

Επείγουσα εκτίμηση είναι αναγκαία αν εμφανιστεί επιδείνωση επιπέδου συνείδησης, υπνηλία/σύγχυση, επίμονοι εμετοί, νέα αδυναμία, δυσκολία ομιλίας, σπασμοί ή αλλαγή στο μέγεθος/αντίδραση της κόρης (ανισοκορία).

Πόσο συχνά χρειάζεται επαναληπτική CT εγκεφάλου αν δεν πραγματοποιηθεί χειρουργείο;

Η ακριβής συχνότητα καθορίζεται εξατομικευμένα. Συχνά ο πρώτος επανέλεγχος απαιτείται μέσα σε 6 με 8 ώρες από την κάκωση, ή ακόμα και νωρίτερα αν εμφανιστούν νέα συμπτώματα. Η παρακολούθηση πρέπει να γίνεται σε οργανωμένο νευροχειρουργικό κέντρο με δυνατότητα άμεσης επέμβασης.

Πότε χρειάζεστε εξειδικευμένη νευροχειρουργική εκτίμηση;

Αν έχει τεθεί διάγνωση επισκληριδίου αιματώματος στην αξονική τομογραφία ή όταν, μετά από κάκωση κεφαλής, εμφανίζονται μεταβαλλόμενα συμπτώματα (επιδεινούμενος πονοκέφαλος, υπνηλία, σύγχυση, εμετοί ή εστιακά νευρολογικά σημεία), η έγκαιρη νευροχειρουργική αξιολόγηση είναι καθοριστική. Στη Neuroknife, εκτιμούμε άμεσα τη συνολική κλινική εικόνα σε συνδυασμό με τα αντικειμενικά κριτήρια της CT (μέγεθος αιματώματος, μετατόπιση δομών μέσης γραμμής) και καθορίζουμε αν απαιτείται επείγουσα χειρουργική εκκένωση ή ασφαλής παρακολούθηση με δομημένο πρωτόκολλο.

Κλείστε ραντεβού / Ζητήστε δεύτερη γνώμη