Διορθωτικές Οστεοτομίες Σπονδυλικής Στήλης
Οι σπονδυλικές παραμορφώσεις στους ενήλικες (π.χ. εκφυλιστική σκολίωση, κύφωση, «flatback» σύνδρομο) μπορεί να εξελιχθούν σε απώλεια οβελιαίας ισορροπίας και σημαντική λειτουργική έκπτωση. Όταν η παραμόρφωση είναι άκαμπτη ή συνδυάζεται με στένωση/νευρολογικά συμπτώματα, η διόρθωση συχνά απαιτεί εξειδικευμένες χειρουργικές τεχνικές, όπως σπονδυλικές οστεοτομίες.
Η επιτυχία δεν εξαρτάται μόνο από το «να ευθυγραμμιστεί η σπονδυλική στήλη», αλλά από το να αποκατασταθεί η ισορροπία του σώματος στο χώρο, να μειωθεί ο πόνος και να βελτιωθεί η βάδιση και η αντοχή στην όρθια στάση. Για αυτό, ο προεγχειρητικός σχεδιασμός (απεικόνιση, μετρήσεις, στόχοι διόρθωσης) είναι τόσο κρίσιμος όσο και η ίδια η επέμβαση.
Τι είναι η παραμόρφωση ενηλίκων & γιατί μας ενδιαφέρει η οβελιαία ισορροπία;
Στις παραμορφώσεις ενηλίκων, το πιο «σημαντικό» δεν είναι η καμπύλη της παραμόρφωσης, αλλά η συνολική ισορροπία της σπονδυλικής στήλης: πόσο εύκολα δηλαδή μπορεί ο κορμός να σταθεί ώστε ο ασθενής να περπατά χωρίς εξάντληση.
Με τον όρο σπονδυλική παραμόρφωση ενηλίκων περιγράφουμε καταστάσεις όπου η σπονδυλική στήλη αποκλίνει από τη φυσιολογική ευθυγράμμιση στο μετωπιαίο/στεφανιαίο επίπεδο (σκολίωση) ή/και στο οβελιαίο επίπεδο (κύφωση/απώλεια λόρδωσης – «flatback»).
Έχει αποδειχθεί ότι η βαρύτητα των συμπτωμάτων σχετίζεται έντονα με την οβελιαία ισορροπία. Ένας πρακτικός τρόπος να την εκτιμήσουμε είναι η θέση του «κάθετου οβελιαίου άξονα» από τον Α7 (C7 plumb line) σε σχέση με το ιερό: σε καλά ισορροπημένη σπονδυλική στήλη, αυτή βρίσκεται περίπου εντός 5 cm από την οπίσθια άνω γωνία του ιερού.
Όταν ο κορμός «πέφτει» προς τα εμπρός, το σώμα προσπαθεί να αντισταθμίσει με κάμψη ισχίων/γονάτων και με οπίσθια κλίση της λεκάνης — κάτι που κουράζει και περιορίζει την καθημερινότητα του ασθενούς, αλλά και προκαλεί σημαντικό πόνο.
Ποια συμπτώματα οδηγούν σε αξιολόγηση για χειρουργική διόρθωση;
Η ένδειξη για χειρουργική θεραπεία δεν βασίζεται μόνο στην ακτινογραφία. Βασίζεται στο πόσο επηρεάζεται η λειτουργικότητα και αν υπάρχουν νευρολογικά προβλήματα.
Συχνά συμπτώματα που χρήζουν αξιολόγηση σε εξειδικευμένη ομάδα παραμόρφωσης:
- Επίμονος πόνος στη μέση/ράχη που δεν βελτιώνεται με στοχευμένη συντηρητική αγωγή.
- Δυσκολία στην όρθια στάση (ο ασθενής «πέφτει» προς τα εμπρός, χρειάζεται συχνές στάσεις κατά τη βάδιση).
- Μείωση αντοχής στο περπάτημα, εύκολη κόπωση.
- Νευρογενής χωλότητα ή συμπτώματα στένωσης (πόνος/μούδιασμα στα πόδια με το βάδισμα).
- Ριζιτικά συμπτώματα (ισχιαλγία, αδυναμία, αιμωδίες).
- Προοδευτική παραμόρφωση ή απώλεια ύψους/αύξηση κύφωσης.
Η χειρουργική διόρθωση συζητείται όταν η παραμόρφωση δημιουργεί σαφή δυσλειτουργία ή/και υπάρχει νευρολογική επιβάρυνση (στένωση/πίεση νεύρων).
Πώς γίνεται ο προεγχειρητικός έλεγχος & ποιες απεικονίσεις χρειάζονται;
Η χειρουργική παραμόρφωσης είναι από τα διορθωτικές επεμβάσεις με τον μεγαλύτερο προεγχειρητικό σχεδιασμό. Η απεικόνιση και οι μετρήσεις καθορίζουν τους στόχους, τις οστεοτομίες και το πλάνο σταθεροποίησης.
Τυπικά, ο προεγχειρητικός έλεγχος περιλαμβάνει:
- Ακτινογραφίες ολόκληρης της σπονδυλικής στήλης σε όρθια θέση (full-length, προσθιοπίσθια & πλάγια), με ισχία/γόνατα σε έκταση και τα πόδια στο άνοιγμα των ώμων, για εκτίμηση της συνολικής ευθυγράμμισης.
- Κάμψη–έκταση για έλεγχο αστάθειας και «ακαμψίας» της παραμόρφωσης.
- Πλάγια κάμψη (bending films) για εκτίμηση ευκαμψίας και επιλογή τεχνικών διόρθωσης.
- CT για οστική ανατομία, προηγούμενες σπονδυλοδεσίες/υλικά και σχεδιασμό της αρθροδεσίας.
- MRI (ή CT μυελογραφία σε ειδικές περιπτώσεις) για στένωση, συμπίεση νευρικών στοιχείων.
Παράλληλα γίνεται προεγχειρητική εκτίμηση των κινδύνων (καρδιολογικός/πνευμονολογικός έλεγχος, έλεγχος αναιμίας, οστεοπόρωσης, σακχάρου κ.λπ.), γιατί η διόρθωση των παραμορφώσεων σπονδυλικής στήλης είναι χειρουργεία μεγάλης βαρύτητας.
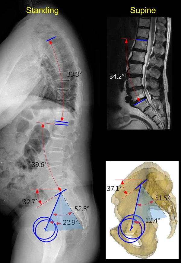
Ποιες είναι οι βασικές μετρήσεις (Α7 κάθετος οβελιαίος άξονας, PI, PT, SS, LL) και τι σημαίνουν;
Οι σπονδυλοπυελικές μετρήσεις δεν είναι «ακτινολογικοί αριθμοί». Είναι ο τρόπος να ορίσουμε ρεαλιστικούς στόχους διόρθωσης που θα ταιριάζουν στην εμβιομηχανική του κάθε ασθενούς.
- Α7 κάθετος οβελιαίος άξονας: δείκτης οβελιαίας ισορροπίας (πόσο μπροστά/πίσω είναι «λυγισμένος» ο κορμός).
- Pelvic Incidence (PI): ανατομική παράμετρος της λεκάνης (παραμένει σταθερή για τον κάθε ασθενή, δεν μπορεί να μεταβληθεί).
- Pelvic Tilt (PT): δυναμική παράμετρος «αντιστάθμισης» (πόσο γυρίζει η λεκάνη προς τα πίσω για να αντιρροπήσει την παραμόρφωση). Ιδανικά στοχεύουμε < 25°, ανάλογα με το προφίλ ασθενούς.
- Sacral Slope (SS): κλίση ιερού, σχετίζεται με την οβελιαία στάση.
- Lumbar Lordosis (LL): οσφυϊκή λόρδωση. Ένας κλασικός στόχος αποκατάστασης της συνολικής ισορροπίας είναι: LL ≈ PI ± 10°.
Σε καλά ισορροπημένη σπονδυλική στήλη, η σχέση PI–LL βοηθά να αποφύγουμε υπερ- ή υποδιόρθωση. Όταν υπάρχει απώλεια λόρδωσης, ο ασθενής αυτόματα αυξάνει το PT (οπίσθια κλίση λεκάνης) για να «αποκαταστήσει» την ανισορροπία στην όρθια στάση — όμως αυτό έχει λειτουργικό κόστος, συνεχή πόνο και κόπωση κατά τη βάδιση.
Τι σημαίνει «άκαμπτη» παραμόρφωση & γιατί χρειάζονται οστεοτομίες;
Στους ενήλικες οι παραμορφώσεις συχνά είναι άκαμπτες (εκφυλισμός, αρθροπάθεια, παλαιά χειρουργεία). Για να διορθωθούν, χρειάζεται πρώτα «χειρουργική απελευθέρωση».
Όταν οι αρθρώσεις, οι δίσκοι και οι σύνδεσμοι έχουν χάσει την ελαστικότητά τους, η σπονδυλική δεν «ανατάσσεται» με απλή έλξη ή με τοποθέτηση υλικών. Σε αυτές τις περιπτώσεις, ο χειρουργός χρειάζεται να δημιουργήσει ελεγχόμενα σημεία κινητικότητας — τις οστεοτομίες.
Η επιλογή θέσης, αριθμού και τύπου οστεοτομιών εξαρτάται από:
- το πού βρίσκεται το «κέντρο» της παραμόρφωσης,
- πόσο μεγάλη είναι η οβελιαία/στεφανιαία ανισορροπία,
- αν υπάρχουν προηγούμενες σπονδυλοδεσίες,
- την αναμενόμενη ασφάλεια χειρισμών στο συγκεκριμένο χειρουργικό επίπεδο (μυελός/κώνος/ρίζες).
Τι είναι η ταξινόμηση σπονδυλικών οστεοτομιών (Grades) με απλά λόγια;
Η ταξινόμηση περιγράφει πόσο «εκτεταμένη» είναι η οστική αφαίρεση και συνεπώς πόσο μεγάλη η χειρουργική διόρθωση που μπορεί να επιτευχθεί — παράλληλα αυξάνεται η πολυπλοκότητα και οι κίνδυνοι του χειρουργείου.
Υπάρχουν ανατομικά βασισμένα συστήματα που κατηγοριοποιούν τις οστεοτομίες σε βαθμίδες, από μικρές αρθρικές αφαιρέσεις έως εκτομή ολόκληρου σπονδυλικού τμήματος. Στην πράξη, οι πιο «κλασικές» για άκαμπτες παραμορφώσεις ενηλίκων είναι:
- Grade 2 – Ponte (πολυεπίπεδη «σφηνοειδής» απελευθέρωση οπισθίων στοιχείων)
- Grade 3 – PSO (Pedicle Subtraction Osteotomy – σφηνοειδής οστεοτομία μέσω του σπονδυλικού σώματος)
- Grade 5 – VCR (Vertebral Column Resection – εκτομή ολόκληρου σπονδυλικού τμήματος)
Τι είναι η οστεοτομία Ponte (Grade 2) και πότε προτιμάται;
Η Ponte είναι «πολυτμηματική» τεχνική για σταδιακή βελτίωση της λόρδωσης/κύφωσης, συνήθως σε πιο ήπιες ή εύκαμπτες σπονδυλικές παραμορφώσεις.
Η οστεοτομία Ponte (πολυτμηματική wedge osteotomy) περιλαμβάνει αφαίρεση των οπίσθιων αρθρικών στοιχείων και τμήματος των οπίσθιων στοιχείων, ώστε η διόρθωση να επιτευχθεί με συμπίεση και «άνοιγμα» του πρόσθιου τμήματος μέσω των δισκικών διαστημάτων (χωρίς διατομή του πρόσθιου επιμήκους συνδέσμου).
Τι κερδίζουμε;
- Κατά μέσο όρο ~ 5–10° λορδωτικής διόρθωσης ανά επίπεδο.
- Χρήσιμη για ήπια–μέτρια οβελιαία ανισορροπία ή/και εύκαμπτες παραμορφώσεις.
- Συχνά συνδυάζεται με άλλες χειρουργικές τεχνικές όταν χρειάζεται μεγαλύτερη γωνία διόρθωσης.
Οι οστεοτομίες Ponte μπορούν να προσφέρουν ομαλή αλλαγή της καμπυλότητας στην σπονδυλική στήλη, επειδή η ανάταξη είναι «εξισορροπημένη» με τις οστεοτομίες να διενεργούνται σε πολλαπλά σπονδυλικά επίπεδα, αλλά δεν αποτελούν την καλύτερη επιλογή για πολύ μεγάλες, οξείες ή άκαμπτες παραμορφώσεις.
Τι είναι η Pedicle Subtraction Osteotomy – PSO (Grade 3) και πότε προτιμάται;
Η PSO είναι τεχνική για μεγάλη, οξεία διόρθωση της οβελιαίας ανισορροπίας, χωρίς να απαιτείται διάταση της πρόσθιας στήλης.
Η Pedicle Subtraction Osteotomy (PSO) είναι σφηνοειδής αφαίρεση οστού που περιλαμβάνει τα οπίσθια στοιχεία, αυχένες και τμήμα του σπονδυλικού σώματος, ώστε όταν «αναταχθεί» η οστεοτομία να παρατηρείται σημαντική αύξηση της γωνίας λόρδωσης.
Τι κερδίζουμε;
- Συχνά ~ 30–35° επιπλέον γωνία οσφυϊκής λόρδωσης ανά επίπεδο (ανάλογα με την τεχνική/στόχο).
- Ιδιαίτερα χρήσιμη σε μεγάλου βαθμού οβελιαία ανισορροπία και άκαμπτες παραμορφώσεις.
- Καλό «βιολογικό» προφίλ σύγκλεισης, επειδή επιτυγχάνεται άμεση οστική επαφή που ευνοεί την πώρωση.
Σε ποια επίπεδα γίνεται συνήθως;
Συχνά επιλέγονται επίπεδα όπως Ο2–Ο3, ώστε να υπάρχει επαρκής αριθμός σημείων καθήλωσης, πάνω και κάτω από το επίπεδο της οστεοτομίας, εξασφαλίζοντας αφενός μεν ανάταξη αλλά και ευστάθεια.
Πρόκειται για τεχνικά απαιτητική επέμβαση με πιθανότητα σημαντικής αιμορραγίας και επιπλοκών, άρα απαιτεί έμπειρη ομάδα, σωστή προεγχειρητική προετοιμασία και αυστηρά πρωτόκολλα ασφάλειας.
Τι είναι η Vertebral Column Resection – VCR (Grade 5) και πότε προτιμάται;
Η VCR είναι η πιο «εκτεταμένη» χειρουργική τεχνική διόρθωσης, όταν υπάρχει σοβαρή, άκαμπτη, πολυεπίπεδη/πολυεπίπεδης κατεύθυνσης παραμόρφωση που δεν μπορεί να διορθώθει διαφορετικά.
Η Vertebral Column Resection (VCR) περιλαμβάνει εκτομή ενός σπονδύλου (ή/και περισσότερων σε εξαιρετικές περιπτώσεις) μαζί με τους παρακείμενους δίσκους, συνήθως στην κορυφή της γωνίας παραμόρφωσης. Η διόρθωση επιτυγχάνεται με ελεγχόμενη συμπίεση/διαμόρφωση ράβδων και συχνά απαιτείται ανακατασκευή της πρόσθιας στήλης (π.χ. κλωβός/mesh cage).
Τι κερδίζουμε;
- Δυνατότητα πολύ μεγάλης διόρθωσης (έως και ~ 60° σε επιλεγμένες περιπτώσεις).
- Ικανότητα μετατόπισης/περιστροφής του άξονα της σπονδυλικής στήλης σε πολύπλοκες παραμορφώσεις.
- Θεραπεία για σοβαρού βαθμού, άκαμπτες, οξείες παραμορφώσεις ή σύνθετες περιπτώσεις.
Επειδή είναι από τις πιο απαιτητικές επεμβάσεις στη σπονδυλική στήλη, η VCR συνοδεύεται από αυξημένο κίνδυνο νευρολογικών επιπλοκών και απαιτεί αυστηρά πρωτόκολλα ασφάλειας, καθώς και διεγχειρητική νευροπαρακολούθηση.
Ποιοι είναι οι κίνδυνοι/επιπλοκές και πώς τους ελαχιστοποιούμε στη Neuroknife;
Όσο πιο «μεγάλη» η οστεοτομία, τόσο μεγαλύτερη η χειρουργική διόρθωση, αλλά και οι πιθανές επιπλοκές. Η σύγχρονη χειρουργική της σπονδυλικής στήλης βασίζεται σε στρατηγικές που μειώνουν συστηματικά αυτούς τους κινδύνους.
Κύριες κατηγορίες κινδύνων:
- Νευρολογικές επιπλοκές (ιδίως σε μεγάλες οστεοτομίες όπως VCR/PSO).
- Αιμορραγία και ανάγκη μετάγγισης.
- Τραυματισμός σκληράς μήνιγγας (dural tear), ιδιαίτερα σε επανεπεμβάσεις.
- Λοίμωξη, θρομβοεμβολικά επεισόδια, πνευμονικές επιπλοκές.
- Ψευδάρθρωση ή αστοχία υλικών (ιδίως σε κακή ποιότητα οστού/οστεοπόρωση).
Πώς μειώνουμε τον κίνδυνο (ενδεικτικά);
- Συνεχής διεγχειρητική νευροπαρακολούθηση (SSEP/MEP) σε όλα τα χειρουργεία παραμόρφωσης.
- Επαρκείς αποσυμπιέσεις/πεταλεκτομές όπου απαιτείται.
- Σταθερή ανακατασκευή πρόσθιας στήλης (όπου χρειάζεται) για αποφυγή υπερβολικής βράχυνσης/«buckling».
- Πρωτόκολλα αιμορραγίας (cell-saver, antifibrinolytics, βέλτιστη αναισθησιολογική στρατηγική).
- Βελτιστοποίηση ποιότητας οστού (έλεγχος/θεραπεία οστεοπόρωσης) και εξατομικευμένη επιλογή χειρουργικών υλικών.
Η πιο ασφαλής επέμβαση είναι αυτή που έχει σωστό στόχο και σωστή ένδειξη. Γι’ αυτό η απόφαση λαμβάνεται μετά από πλήρη ανάλυση των σπονδυλοπυελικών παραμέτρων και της συνολικής κλινικής εικόνας του ασθενούς.
Τι να περιμένετε από την ανάρρωση & ποιοι παράγοντες επηρεάζουν το αποτέλεσμα;
Η ανάρρωση έπειτα από χειρουργική παραμόρφωσης είναι μακρά. Η σωστή αποκατάσταση είναι μέρος της θεραπείας.
Συνήθως περιλαμβάνει:
- Νοσηλεία και σταδιακή κινητοποίηση με καθοδήγηση φυσικοθεραπευτή.
- Έμφαση σε πρώιμη κινητοποίηση για πρόληψη επιπλοκών.
- Σταδιακή επάνοδο σε καθημερινές δραστηριότητες, με σαφείς περιορισμούς κάμψης/άρσης βάρους αρχικά.
- Τακτικούς επανελέγχους με απεικόνιση για επιβεβαίωση σταθερότητας/πώρωσης.
Παράγοντες που επηρεάζουν το αποτέλεσμα:
- Ο βαθμός προεγχειρητικής οβελιαίας ανισορροπίας και η δυνατότητα επίτευξης ανάταξης.
- Η ποιότητα οστού του ασθενούς (οστεοπόρωση, κατάσταση θρέψης), καθώς και η συμμόρφωση κατά την αποκατάσταση.
- Η παρουσία στένωσης/νευρολογικής συμπτωματολογίας και η ανταπόκριση μετά την αποσυμπίεση.
- Το κάπνισμα (αυξάνει τον κίνδυνο ψευδάρθρωσης) και άλλοι παράγοντες υγείας.
Συχνές ερωτήσεις & πότε να ζητήσετε εξειδικευμένη γνώμη;
Χρειάζονται όλοι οι ασθενείς με σκολίωση/κύφωση οστεοτομία;
Όχι. Οι οστεοτομίες απαιτούνται κυρίως όταν η παραμόρφωση είναι άκαμπτη ή όταν χρειάζεται μεγάλη αποκατάσταση της οβελιαίας ισορροπίας. Σε πιο ευέλικτες παραμορφώσεις, η διόρθωση μπορεί να γίνει με λιγότερο εκτεταμένες χειρουργικές τεχνικές.
Ποια είναι η πιο σημαντική «παράμετρος» στα χειρουργεία παραμόρφωσης;
Σε μεγάλο βαθμό, η οβελιαία ισορροπία και η σωστή αντιστοίχιση PI–LL σχετίζονται με τη λειτουργικότητα μετεγχειρητικά. Ωστόσο, το τελικό χειρουργικό πλάνο είναι εξατομικευμένο και περιλαμβάνει πολλαπλές σπονδυλικές παραμέτρους.
Πότε πρέπει να ζητήσω δεύτερη γνώμη;
- Όταν προτείνεται μεγάλης έκτασης σπονδυλοδεσία ή οστεοτομία (PSO/VCR).
- Όταν υπάρχουν νευρολογικά συμπτώματα (αδυναμία, διαταραχή βάδισης, ακράτεια).
- Όταν έχετε οστεοπόρωση ή σημαντικά συνοδά νοσήματα και θέλετε πλήρη εκτίμηση κινδύνου–οφέλους.
Στη Neuroknife, η αξιολόγηση παραμόρφωσης ενηλίκων γίνεται με πλήρη ανάλυση ευθυγράμμισης (global alignment), συζήτηση στόχων (πόνος/βάδιση/αντοχή) και παρουσίαση επιλογών από συντηρητική έως εξειδικευμένη χειρουργική διόρθωση, πάντα με ρεαλιστική ενημέρωση για το όφελος, τα όρια και τους κινδύνους.
Πότε να ζητήσετε εξειδικευμένη εκτίμηση για παραμόρφωση σπονδυλικής στήλης;
Αν έχετε προοδευτική σκολίωση/κύφωση, δυσκολία στην όρθια στάση ή το περπάτημα, έντονο πόνο ή νευρολογικά συμπτώματα, στην Neuroknife η εξειδικευμένη αξιολόγηση μπορεί να ξεκαθαρίσει αν χρειάζεστε παρακολούθηση, στοχευμένη συντηρητική θεραπεία ή χειρουργική αποκατάσταση.
Στη Neuroknife προσφέρουμε δομημένο προεγχειρητικό σχεδιασμό με πλήρη απεικόνιση, μετρήσεις PI–LL/PT, ανάλυση ισορροπίας και εξατομικευμένο χειρουργικό πλάνο (όταν ενδείκνυται).
Κλείστε ραντεβού ή ζητήστε δεύτερη γνώμη© Neuroknife — Πρωτότυπο ιατρικό περιεχόμενο των ιατρών μας, παρέχεται αποκλειστικά για εκπαίδευση και ενημέρωση ασθενών.
