ΕΚΠΑΙΔΕΥΣΗ ΑΣΘΕΝΩΝ

Γλοιώματα χαμηλής κακοήθειας (LGG)

Τα γλοιώματα χαμηλής κακοήθειας (LGG) είναι πρωτοπαθείς όγκοι του εγκεφάλου που συνήθως αναπτύσσονται αργά και εμφανίζονται συχνά με επιληπτικές κρίσεις ως πρώτο σύμπτωμα. Παρότι θεωρούνται “χαμηλού βαθμού”, χρειάζονται συστηματική παρακολούθηση και συχνά ενεργή θεραπευτική στρατηγική, γιατί μπορούν να εξελιχθούν με την πάροδο του χρόνου.

Η σύγχρονη αντιμετώπιση βασίζεται σε τρεις πυλώνες: ακριβή διάγνωση (MRI και, όπου χρειάζεται, ιστολογική/μοριακή τεκμηρίωση), ασφαλή χειρουργική αντιμετώπιση με στόχο τη μέγιστη δυνατή εξαίρεση χωρίς νευρολογικό έλλειμα, και εξατομικευμένες συμπληρωματικές θεραπείες ανάλογα με τον κίνδυνο υποτροπής/εξέλιξης.

Συχνά 1ο σύμπτωμα: κρίσεις (80–90%) Αργή αύξηση μεγέθους (σε βάθος χρόνου) MRI: όχι πάντοτε αξιόπιστη για βαθμό κακοήθειας Moριακοί δείκτες: IDH, 1p/19q, MGMT Στόχος χειρουργείου: μέγιστη ασφαλής εξαίρεση Χαρτογράφηση/κρανιοτομία σε εγρήγορση: εγγύτητα με λειτουργικές περιοχές

Τι είναι τα γλοιώματα χαμηλής κακοήθειας (LGG);

Είναι πρωτοπαθείς νευρογλοιακοί όγκοι που συχνά εξελίσσονται αργά, αλλά δεν είναι “αθώοι” — χρειάζονται σωστή εκτίμηση και θεραπευτική στρατηγική.

Τα LGG περιλαμβάνουν κυρίως όγκους όπως αστροκύτωμα και ολιγοδενδρογλοίωμα. Η βιολογική συμπεριφορά τους μπορεί να διαφέρει σημαντικά, γι’ αυτό σήμερα δεν αρκεί μόνο η μορφολογία. Η μοριακή ταξινόμηση (π.χ. IDH, 1p/19q) βοηθά να προβλέψουμε καλύτερα την πορεία και να επιλέξουμε τη σωστή μορφή θεραπείας.

Κλειδί: Στόχος δεν είναι μόνο “αφαιρεθεί ο όγκος”, αλλά το να εξαιρεθεί με τη μέγιστη δυνατή ασφάλεια, να επιτευχθεί έλεγχος των κρίσεων και να ελαχιστοποιηθεί ο κίνδυνος εξέλιξης.

Πόσο συχνά είναι και ποια είναι η γενική πρόγνωση;

Οι πρωτοπαθείς όγκοι εγκεφάλου αποτελούν σημαντική αιτία νοσηρότητας, με πρόγνωση που ποικίλλει ανάλογα με τον τύπο και τη βιολογία του όγκου.

Σε γενικές γραμμές, η μέση επιβίωση μετά τη διάγνωση μπορεί να είναι πολλά χρόνια σε ορισμένα γλοιώματα χαμηλής κακοήθειας, ενώ σε υψηλού βαθμού όγκους (όπως γλοιοβλάστωμα) είναι σαφώς μικρότερη. Στα LGG, η πρόγνωση εξαρτάται ιδιαίτερα από:

  • Έκταση ασφαλούς εξαίρεσης (όσο περισσότερος όγκος αφαιρεθεί με ασφάλεια, τόσο καλύτερα).
  • Moριακό προφίλ (IDH, 1p/19q κ.ά.).
  • Ηλικία, λειτουργική κατάσταση (KPS) και μέγεθος όγκου.
  • Εντόπιση (εγγύτητα με “λειτουργικές” περιοχές).

Ποια συμπτώματα προκαλούν και γιατί οι κρίσεις είναι τόσο συχνές;

Οι επιληπτικές κρίσεις είναι το συχνότερο πρώτο σύμπτωμα, γιατί τα LGG συχνά “ερεθίζουν” τον φλοιό χωρίς να προκαλούν άμεσα βαριά νευρολογικά ελλείμματα.

Στα LGG, οι επιληπτικές κρίσεις εμφανίζονται πολύ συχνά ως πρώτη εκδήλωση (ιδίως εστιακές κρίσεις). Επειδή οι όγκοι αυτοί μεγαλώνουν αργά, ο οργανισμός μπορεί να “προσαρμόζεται” σε μικρές αλλαγές και τα συμπτώματα να περνούν απαρατήρητα για καιρό.

Άλλα πιθανά συμπτώματα:

  • Ήπια προοδευτική αδυναμία, αστάθεια, διαταραχές λόγου/μνήμης.
  • Κεφαλαλγία (συνήθως όταν υπάρχει οίδημα).
  • Αλλαγές συγκέντρωσης, απόδοσης ή “ανεξήγητη” κόπωση/βραδύτητα.

Οι εστιακές κρίσεις μπορεί να εκδηλώνονται συνήθως “ύπουλα” (π.χ. παροδικά επεισόδια αποπροσανατολισμού, περίεργες αισθήσεις, στιγμιαίες διαταραχές λόγου). Αυτά χρήζουν διερεύνησης.

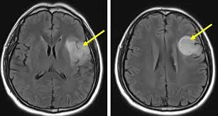
Πώς γίνεται η διάγνωση (MRI, EEG) και τι μπορεί/δεν μπορεί να δείξει η MRI;

Η MRI είναι βασική διαγνωστική εξέταση, αλλά δεν μπορεί πάντα να ξεχωρίσει αξιόπιστα χαμηλού από υψηλού βαθμού γλοιώματα, χωρίς ιστολογική και μοριακή τεκμηρίωση.

  • MRI εγκεφάλου (με/χωρίς σκιαγραφικό): αναδεικνύει την έκταση της βλάβης, χαρακτηριστικά και σχέση με λειτουργικές περιοχές.
  • EEG: βοηθά όταν η διάγνωση κρίσεων δεν είναι σαφής ή όταν θέλουμε καλύτερη τεκμηρίωση της επιληπτικής δραστηριότητας.

Στην κλινική πρακτική, η απουσία έντονης πρόσληψης σκιαγραφικού συχνά “υποδηλώνει” χαμηλότερο βαθμό γλοιώματος, αυτό όμως δεν είναι απόλυτο. Η τελική τεκμηρίωση βασίζεται στη συνολική εικόνα και σε ιστολογική/μοριακή διάγνωση, όταν ενδείκνυται.

Υπάρχει κληρονομικότητα; NF1 & Li-Fraumeni — τι σημαίνει στην πράξη;

Η κληρονομικότητα δεν είναι ο κύριος μηχανισμός για τα περισσότερα LGG, αλλά υπάρχουν ειδικά σύνδρομα που αυξάνουν τον κίνδυνο.

Στη μεγάλη πλειονότητα, τα LGG δεν σχετίζονται με ισχυρό οικογενειακό υπόβαθρο. Υπάρχουν όμως καταστάσεις όπως νευροϊνωμάτωση τύπου 1 (NF1) και το σύνδρομο Li-Fraumeni, όπου ο κίνδυνος μπορεί να είναι αυξημένος.

Στην NF1, ένα χαρακτηριστικό παράδειγμα είναι τα γλοιώματα της οπτικής οδού (οπτικό νεύρο/χίασμα/υποθάλαμος), τα οποία συχνά είναι χαμηλού βαθμού (WHO grade I, αλλά μπορεί και grade II).

Ιατρική αντιμετώπιση: αντιεπιληπτικά φάρμακα και τι πρέπει να γνωρίζω;

Μετά από διαγνωσμένη επιληπτική κρίση γίνεται συνήθως έναρξη αντιεπιληπτικής αγωγής. Η επιλογή του κατάλληλου σκευάσματος κρίνεται με βάση την αποτελεσματικότητα και πιθανές αλληλεπιδράσεις.

Πολλά κέντρα προτιμούν μονοθεραπεία με λεβετιρακετάμη, επειδή έχει λιγότερες αλληλεπιδράσεις με άλλα φάρμακα (ιδιαίτερα ογκολογικά) σε σχέση με παλαιότερα σκευάσματα όπως η φαινυτοΐνη.

Πρακτικά σημεία:

  • Αν τα επεισόδια δεν είναι ξεκάθαρα, το ηλεκτροεγκεφαλογράφημα (EEG) μπορεί να βοηθήσει.
  • Η λεβετιρακετάμη μπορεί να προκαλέσει ευερεθιστότητα/αλλαγές διάθεσης ή “νοητική επιβράδυνση” σε ορισμένους ασθενείς.
  • Η επιλογή αντιεπιληπτικού γίνεται εξατομικευμένα, με πρωταρχικό στόχο τον επιτυχη έλεγχο των κρίσεων και την καλή ανοχή του φαρμάκου από τον ασθενή.

Στεροειδή: πότε βοηθούν, τι να περιμένω και ποιες παρενέργειες να προσέξω;

Τα κορτικοστεροειδή είναι ιδιαίτερα χρήσιμα όταν υπάρχει συμπτωματικό οίδημα ή πίεση επί των νευρικών δομών — όμως χρειάζονται σωστή διάρκεια και παρακολούθηση.

Τα κορτικοστεροειδή (π.χ. δεξαμεθαζόνη) μειώνουν το αγγειογενές οίδημα και μπορούν να βελτιώσουν τα συμπτώματα μέσα σε ώρες, με μέγιστο αποτέλεσμα σε λίγες ημέρες. Συνήθως χρησιμοποιούνται κατά το χρονικό διάστημα γύρω από την επέμβαση ή σε περιόδους έντονου οιδήματος.

Συχνές παρενέργειες που παρακολουθούμε:

  • Γαστρικός ερεθισμός, αϋπνία, μεταβολές διάθεσης.
  • Υπεργλυκαιμία (ιδιαίτερα σε ασθενείς με σακχαρώδη διαβήτη).
  • Κατακράτηση υγρών/πρήξιμο, αύξηση όρεξης.

Στόχος είναι η ελάχιστη αποτελεσματική δόση και σταδιακή μείωση όταν αυτό είναι ασφαλές, με προσεκτική παρακολούθηση για πιθανή επανεμφάνιση των συμπτωμάτων.

Χειρουργική στρατηγική: βιοψία ή εξαίρεση; Πότε και γιατί;

Η χειρουργική απόφαση ισορροπεί ανάμεσα σε ασφαλή εξαίρεση, ανάγκη ιστολογικής/μοριακής διάγνωσης και νευρολογικό κίνδυνο.

Οι βασικές χειρουργικές επιλογές είναι:

  • Ολική εξαίρεση (resection) με στόχο τη μέγιστη δυνατή ασφαλή αφαίρεση του όγκου.
  • Στερεοτακτική βιοψία όταν η εξαίρεση δεν είναι ασφαλής/ρεαλιστική ή όταν η βλάβη είναι βαθιά/μικρή/διάχυτη.

Η βιοψία μπορεί να βοηθήσει στη διάγνωση, αλλά δεν είναι πάντοτε διαγνωστική: σε ορισμένες περιπτώσεις υπάρχει ο κίνδυνος χαρακτηρισμού του δείγματος ως μη αντιπροσωπευτικό ή υγιής εγκεφαλικός ιστός. Γι’ αυτό η απόφαση λαμβάνεται εξατομικευμένα, και προτιμάται μια στρατηγική που συνδυάζει διάγνωση + θεραπευτικό όφελος για τον ασθενή.

Σύγχρονη χειρουργική ασφάλεια: νευροπλοήγηση, υπέρηχος, χαρτογράφηση, κρανιοτομία σε εγρήγορση;

Η τεχνολογία επιτρέπει υψηλότερη έκταση εξαίρεσης με χαμηλότερο νευρολογικό κίνδυνο — ειδικά κοντά σε λειτουργικές περιοχές.

Σε σύγχρονα κέντρα όπως η Neuroknife χρησιμοποιούνται εργαλεία όπως:

  • Nευροπλοήγηση για ακριβή προσανατολισμό κατά τη διάρκεια της επέμβασης.
  • Διεγχειρητικός υπέρηχος για εντόπιση υποφλοιωδών βλαβών σε πραγματικό χρόνο.
  • Μικροσκόπιο και υπερηχητικός αναρροφητήρας για λεπτό χειρισμό ιστών.
  • Διεγχειρητική χαρτογράφηση (mapping) για αναγνώριση λειτουργικών περιοχών.
  • Κρανιοτομία σε εγρήγορση όταν η βλάβη γειτνιάζει με κρίσιμες περιοχές του επικρατούντος ημισφαιρίου.

Η λειτουργική χαρτογράφηση (mapping) διεγχειρητικά είναι συνήθως αυτή που μας επιτρέπει να κινηθούμε με τη μέγιστη ασφάλεια.

Moριακοί δείκτες (IDH, 1p/19q, MGMT): γιατί αλλάζουν την πρόγνωση/θεραπεία;

Η μοριακή ταξινόμηση δεν είναι “λεπτομέρεια” — επηρεάζει σημαντικά την πρόγνωση, τις επιλογές θεραπείας και την περαιτέρω παρακολούθηση.

Ενδεικτικά:

  • IDH1/IDH2: συχνές μεταλλάξεις στα LGG και συχνά συνδέονται με καλύτερη πρόγνωση.
  • 1p/19q codeletion: χαρακτηριστικό ολιγοδενδρογλοιωμάτων, με ιδιαίτερη προγνωστική/θεραπευτική σημασία.
  • MGMT: σχετίζεται με την ανταπόκριση των γλοιωμάτων υψηλού βαθμού στους αλκυλιωτικούς παράγοντες.
Για τον ασθενή: Οι δείκτες αυτοί βοηθούν να αποφασίσουμε αν χρειάζεται μόνο παρακολούθηση, ή αν είναι προτιμότερο να συνδυαστεί χειρουργείο με ακτινοθεραπεία/χημειοθεραπεία σε κατάλληλο χρόνο.

Συμπληρωματικές θεραπείες & συστηματική παρακολούθηση: ποιοι ασθενείς θεωρούνται υψηλού κινδύνου;

Σε ασθενείς χαμηλού κινδύνου μπορεί να επιλεγεί στενή παρακολούθηση, ενώ όταν ο κίνδυνος είναι υψηλότερος συχνά συζητάμε για συμπληρωματική θεραπεία.

Η απόφαση για συμπληρωματική θεραπεία βασίζεται σε προγνωστικούς παράγοντες όπως:

  • Μέγεθος του όγκου (π.χ. > 4 cm),
  • Υπολειμματικός όγκος στη μετεγχειρητική MRI,
  • Ηλικία του ασθενούς,
  • Λειτουργική κατάσταση (KPS),
  • Εντόπιση βλάβης σε λειτουργικό φλοιό.

Επειδή τα LGG μπορούν να μεγαλώνουν συνεχώς σε βάθος χρόνου, η παρακολούθηση γίνεται με σειριακές MRI και συγκρίσεις που συχνά χρειάζονται μεγαλύτερο χρονικό διάστημα για να φανεί η εξέλιξη της βλάβης.

Συχνές ερωτήσεις & πότε να ζητήσετε δεύτερη γνώμη;

Αν στην MRI ο όγκος “δεν προσλαμβάνει σκιαγραφικό”, σημαίνει ότι είναι χαμηλού βαθμού σίγουρα;

Όχι. Η απουσία έντονης πρόσληψης σκιαγραφικού συχνά συσχετίζεται με γλοιώματα χαμηλότερου βαθμού, αλλά αυτό δεν είναι απόλυτο. Η ασφαλέστερη εκτίμηση προκύπτει από το σύνολο των ευρημάτων και ιστολογική/μοριακή επιβεβαίωση.

Γιατί δίνετε τόσο μεγάλη σημασία στη “μέγιστη ασφαλή εξαίρεση”;

Επειδή η έκταση της εξαίρεσης συνδέεται συχνά με καλύτερο έλεγχο της νόσου και καλύτερη επιβίωση, αρκεί να επιτυγχάνεται χωρίς μόνιμη νευρολογική βλάβη. Σε αυτό βοηθούν η αυστηρή μικροχειρουργική τεχνική και οι τεχνολογίες αιχμής, όπως η νευροπλοήγηση και η λειτουργική χαρτογράφηση.

Πότε η βιοψία είναι προτιμότερη από την εξαίρεση;

Όταν η βλάβη είναι πολύ βαθιά, μικρή, διάχυτη, πολλαπλή ή όταν η γενική κατάσταση του ασθενούς δεν επιτρέπει πιο εκτεταμένο χειρουργείο. Στόχος είναι πρώτα η ασφαλής διάγνωση και μετά η βέλτιστη θεραπευτική στρατηγική.

Πότε πρέπει να κινηθώ επειγόντως;
  • Πρώτη επιληπτική κρίση ή επαναλαμβανόμενες κρίσεις.
  • Νέα ή επιδεινούμενη αδυναμία, διαταραχές λόγου/όρασης, ή αλλαγές συνείδησης.
  • Έντονη κεφαλαλγία με ναυτία/έμετο, ιδίως αν επιδεινώνεται.

Πότε να ζητήσετε εξειδικευμένη νευροχειρουργική εκτίμηση για γλοίωμα χαμηλής κακοήθειας;

Εάν έχετε εμφανίσει επιληπτικές κρίσεις, νέα ή επιδεινούμενα νευρολογικά συμπτώματα, ή εάν η μαγνητική τομογραφία αναδεικνύει βλάβη πλησίον λειτουργικά κρίσιμων περιοχών του εγκεφάλου, η έγκαιρη και εξειδικευμένη νευροχειρουργική εκτίμηση είναι καθοριστικής σημασίας για τον επιτυχή έλεγχο της νόσου σε συνδυασμό με τη διασφάλιση καλύτερης ποιότητας ζωής.

Κλείστε ραντεβού ή ζητήστε δεύτερη γνώμη