Ενδοκοιλιακοί Όγκοι Εγκεφάλου
Οι ενδοκοιλιακοί όγκοι είναι μια ετερογενής ομάδα από βλάβες που αναπτύσσονται πρωτογενώς μέσα στις κοιλίες του εγκεφάλου, είτε επεκτείνονται σε αυτές εξορμώμενες από το γειτονικό εγκεφαλικό παρέγχυμα. Η κλινική τους σημασία σχετίζεται κυρίως με την πιθανότητα απόφραξης της ροής του εγκεφαλονωτιαίου υγρού (ΕΝΥ) και εμφάνισης συνοδού υδροκεφαλίας, αλλά και με την ιδιαίτερη χειρουργική ανατομία των εν τω βάθει εγκεφαλικών δομών.
Στην πράξη, το πρώτο βήμα είναι η σωστή, “συστηματική” προσέγγιση: ακριβής εντόπιση του όγκου (π.χ. τρήμα Monro, 3η κοιλία, 4η κοιλία, τρίγωνο πλάγιας κοιλίας), ηλικία του ασθενούς, απεικονιστικά χαρακτηριστικά (MRI/CT, ασβεστώσεις, κύστη, ενίσχυση), και η συνολική κλινική εικόνα. Με αυτό τον τρόπο, η διαφορική διάγνωση συχνά περιορίζεται σημαντικά.
Τι είναι οι ενδοκοιλιακοί όγκοι; (πρωτοπαθείς και δευτεροπαθείς)
Η διάκριση είναι κρίσιμη: οι πρωτοπαθείς βλάβες εξορμώνται από το κοιλιακό σύστημα του εγκεφάλου, ενώ οι δευτεροπαθείς βλάβες επεκτείνονται στις κοιλίες κατά συνέχεια ιστών προερχόμενες από τις γειτονικές ανατομικές δομές.
Οι ενδοκοιλιακοί όγκοι διαχωρίζονται σε:
- Πρωτοπαθείς βλάβες: εξορμώνται από τις κοιλίες του εγκεφάλου.
- Δευτεροπαθείς: προέρχονται από το γειτονικό παρέγχυμα/ανατομικές δομές και επεκτείνονται στον ενδοκοιλιακό χώρο (π.χ. βλάβες επίφυσης, οπτικών οδών, υποθαλαμικές–υποφυσιακές βλάβες, περι-κοιλιακά γλοιώματα).
Οι πρωτοπαθείς βλάβες μπορούν επίσης να κατηγοριοποιηθούν σε:
- βλάβες που προέρχονται από τα επενδυματικά τοιχώματα (π.χ. επενδύμωμα, υποεπενδύμωμα, νευροκύτωμα, SEGA, κολλοειδείς κύστεις),
- βλάβες που προέρχονται από τις ενδοκοιλιακές ανατομικές δομές (π.χ. χοριοειδές πλέγμα, μηνιγγίωμα του τριγώνου, αγγειακές δυσπλασίες, κύστεις).
Τι συμπτώματα προκαλούν; (υδροκεφαλία & αυξημένη ενδοκράνια πίεση)
Η κλινική εμφάνιση των ασθενών καθορίζεται από το αν ο όγκος παρεμποδίζει τη φυσιολογική ροή του ΕΝΥ ή όχι.
Οι ενδοκοιλιακοί όγκοι μπορεί να προκαλέσουν:
- Κεφαλαλγία, ναυτία/εμετούς, υπνηλία, θάμβος όρασης — τυπικά σημεία αυξημένης ενδοκράνιας πίεσης.
- Υδροκεφαλία λόγω απόφραξης της ροής του ΕΝΥ (π.χ. τρήμα Monro, υδραγωγός, έξοδος 4ης κοιλίας).
- Εστιακά νευρολογικά συμπτώματα ανάλογα με την εντόπιση (π.χ. διαταραχές μνήμης/συνείδησης σε όγκους της 3ης κοιλίας, παρεγκεφαλιδικά σημεία σε μάζες της 4ης κοιλίας).
Πώς γίνεται η διαφορική διάγνωση; (εντόπιση + ηλικία + MRI/CT)
Η συστηματική κλινική προσέγγιση μειώνει δραστικά τη λίστα των πιθανών διαγνώσεων.
Τρία στοιχεία είναι συνήθως καθοριστικά για την διαφορική διάγνωση των ενδοκοιλιακών όγκων εγκεφάλου:
- Εντόπιση: πλάγια κοιλία (πρόσθια/οπίσθια/τρίγωνο), 3η κοιλία (πρόσθια ή οπίσθια), 4η κοιλία.
- Ηλικία: παιδική ηλικία, είτε νεαρός ενήλικας, είτε μέση/προχωρημένη ηλικία.
- Απεικονιστικά χαρακτηριστικά: επασβεστώσεις (CT), κύστεις, αιμορραγικά χαρακτηριστικά, ένταση σήματος σε T1/T2 ακολουθίες, πρότυπο ενίσχυσης με σκιαγραφικό.
Σε υποψία διάγνωσης ορισμένων ενδοκοιλιακών όγκων (π.χ. επενδύμωμα) μπορεί να ζητηθεί απεικόνιση ολόκληρου του νευράξονα, ώστε να αποκλειστούν επιπρόσθετες παθολογικές εστίες.
Κλασικοί ενδοκοιλιακοί όγκοι και απεικονιστικά χαρακτηριστικά
Στον οδηγό ασθενών της Neuroknife συνοψίζονται οι πιο συνήθεις μάζες με εντόπιση το κοιλιακό σύστημα.
Κάθε όγκος έχει τυπικά χαρακτηριστικά στην MRI/CT, όμως η τελική διάγνωση γίνεται πάντοτε με το συνδυασμό της κλινικής εικόνας και, όπου κρίνεται απαραίτητο, ιστολογικής επιβεβαίωσης της βλάβης.
Επενδύμωμα
Συχνότερο σε παιδιά, σχετίζεται κλασικά με την 4η κοιλία, αλλά μπορεί να εμφανιστεί κατά μήκος ολόκληρου του νευράξονα.
Το επενδύμωμα αποτελεί σημαντικό ποσοστό παιδιατρικών όγκων και συχνά εντοπίζεται στην 4η κοιλία. Στην CT μπορεί να υπάρχουν επασβεστώσεις και κυστικά χαρακτηριστικά, ενώ στην MRI συνήθως παρουσιάζει χαμήλη ένταση σήματος σε T1 ακολουθίες, υψηλή ένταση στις T2 ακολουθίες και ετερογενή ενίσχυση μετά χορήγηση σκιαγραφικού.
Όταν τα κλινικά και απεικονιστικά χαρακτηριστικά υποστηρίζουν διάγνωση συμβατή με επενδύμωμα, συχνά προχωρούμε σε απεικόνιση ολόκληρου του νευράξονα (εγκέφαλος, σπονδυλική στήλη).
Υποεπενδύμωμα (WHO I)
Τυπικά καλοήθης, αργά εξελισσόμενη βλάβη, που εμφανίζεται συχνά ως τυχαίο εύρημα στους ενήλικες.
Το υποεπενδύμωμα είναι βλάβη χαμηλής κακοήθειας (WHO grade I), συχνότερη στην 5η με 6η δεκαετία. Συνήθως εμφανίζεται ως καλά περιγεγραμμένη μάζα προσκολλημένη στο τοίχωμα της τέταρτης κοιλίας. Το σήμα στις Τ1 ακολουθίες της MRI είναι συνήθως χαμηλής έως ιδίας έντασης με το εγκεφαλικό παρέγχυμα και χαρακτηριστικά η βλάβη παρουσιάζει ελάχιστη ή καθόλου ενίσχυση μετά τη χορήγηση σκιαγραφικού.
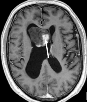
Κεντρικό νευροκύτωμα (WHO II)
Τυπικά εμφανίζεται σε νεαρούς ενήλικες, με εντόπιση κοντά στο ενδοκοιλιακό τρήμα του Monro και κλινική εικόνα αυξημένης ενδοκράνιας πίεσης.
Το κεντρικό νευροκύτωμα είναι σπάνιος όγκος (κάτω από 1% των ενδοκράνιων μαζών) και είναι συχνότερο στην 2η με 4η δεκαετία. Συχνά εντοπίζεται κοντά στο ενδοκοιλιακό τρήμα του Monro ή εντός της 3ης κοιλίας. Στην CT εγκεφάλου μπορεί να είναι υπέρπυκνο με στικτές επασβεστώσεις. Στην MRI έχει συνήθως ετερογενή ενίσχυση μετά ενδοφλέβια χορήγηση σκιαγραφικού και εμφανίζει μικρές κυστικές περιοχές.
Η πλήρης χειρουργική αφαίρεση της βλάβης είναι συνήθως θεραπευτική. Στην Neuroknife, η ριζική εξαίρεση συνδυάζεται πάντοτε με προσεκτικό σεβασμό των παρακείμενων νευρικών δομών και της φλεβικής παροχέτευσης των κοιλιών.
Υποεπενδυματικό Γιγαντοκυτταρικό Αστροκύτωμα (SEGA) σε Οζώδη Σκλήρυνση
Καλοήθης όγκος που σχετίζεται σχεδόν αποκλειστικά με το το γενετικό σύνδρομο της οζώδους σκλήρυνσης και κλασική εντόπιση στο ενδοκοιλιακό τρήμα του Monro.
Το υποεπενδυματικό γιγαντοκυτταρικό αστροκύτωμα (SEGA) εμφανίζεται κυρίως σε ασθενείς με Οζώδη Σκλήρυνση (TS) και αποτελεί διαγνωστική βλάβη του συνδρόμου. Οι όγκοι συνήθως εντοπίζονται στο τρήμα του Monro και μπορούν να προκαλέσουν αποφρακτική υδροκεφαλία. Στην απεικόνιση μπορεί να υπάρχουν επασβεστώσεις και, σε αντίθεση με τους απλούς υποεπενδυματικούς όζους της οζώδους σκλήρυνσης, τα SEGA συχνά παρουσιάζουν σαφή ενίσχυση μετά τη χορήγηση σκιαγραφικού.
Όγκοι χοριοειδούς πλέγματος (θήλωμα/καρκίνωμα)
Οι μάζες αυτές μπορεί να προκαλέσουν υδροκέφαλο, όχι μόνο εξαιτίας απόφραξης της φυσιολογικής ροής, αλλά και υπερπαραγωγής ΕΝΥ.
Τα θηλώματα του χοριοειδούς πλέγματος (CPP) είναι συνήθως όγκοι χαμηλού βαθμού κακοήθειας, ενώ τα χοριοειδή καρκινώματα είναι σπανιότερα αλλά πολύ πιο επιθετικά. Συχνά εκδηλώνονται με υδροκεφαλία — όπου σε ένα σημαντικό ποσοστό αυτό αποδίδεται σε συνδυασμό υπερπαραγωγής και απόφραξης της ροής του ΕΝΥ.
Στην MRI το χοριοειδές θήλωμα εμφανίζει συνήθως έντονη ενίσχυση με σκιαγραφικό και χαρακτηριστική μορφολογία. Η εντόπιση των βλαβών διαφέρει ανά ηλικιακή κατανομή: στα παιδιά συχνότερα βρίσκονται υπερσκηνίδια, ενώ στους ενήλικες οι βλάβες συνήθως εντοπίζονται υποσκηνίδια.
Σε περιπτώσεις όπου τίθεται υποψία θηλώματος του χοριοειδούς πλέγματος, στην Neuroknife ο προεγχειρητικός σχεδιασμός δεν περιορίζεται απλά στη μορφολογική επιβεβαίωση της βλάβης. Δίνουμε ιδιαίτερη έμφαση στην εκτίμηση της αγγειοβρίθειας του όγκου και τη στρατηγική ελέγχου της υδροκεφαλίας, καθώς τα δύο αυτά στοιχεία επηρεάζουν καθοριστικά τόσο την ασφάλεια της επέμβασης όσο και τη συνολική έκβαση.
Ενδοκοιλιακό μηνιγγίωμα
Συχνότερη εμφάνιση σε ασθενείς μέσης ηλικίας, με προτίμηση το τρίγωνο των πλάγιων κοιλιών και έντονη ομοιογενή ενίσχυση μετά χορήγηση σκιαγραφικού.
Το ενδοκοιλιακό μηνιγγίωμα είναι λιγότερο συχνό από τα κλασικά εξω-αξονικά μηνιγγιώματα, αλλά αποτελεί έναν από τους πιο συχνούς ενδοκοιλιακούς όγκους του εγκεφάλου. Συχνά εντοπίζονται στο τρίγωνο των πλάγιων κοιλιών. Στις απεικονίσεις με CT/MRI, τα μηνιγγιώματα είναι ισόπυκνες/ιδίας έντασης βλάβες με το εγκεφαλιό παρέγχυμα και παρουσιάζουν συνήθως επασβεστώσεις καθώς και έντονη, ομοιογενή ενίσχυση μετά χορήγηση σκιαγραφικού.
Η χειρουργική προσπέλαση στο τρίγωνο των κοιλιών απαιτεί προσεκτικό νευροχειρουργικό σχεδιασμό, ιδίως σε οπίσθιες/βρεγματοϊνιακές μάζες. Στην Neuroknife, η επιλογή της προσπέλασης βασίζεται στη λεπτομερή ανάλυση της ανατομίας της βλάβης και των παρακείμενων ανατομικών δομών, με στόχο την ελαχιστοποίηση των νευρολογικών επιπλοκών και τη διατήρηση μέγιστης ασφάλειας κατά την εκτομή.
Κολλοειδής κύστη 3ης κοιλίας
Πρόκειται για καλοήθης κύστη σε στενή εγγύτητα με το ενδοκοιλιακό τρήμα του Monro, η οποία συνήθως προκαλεί οξεία απόφραξη και υδροκεφαλία.
Οι κολλοειδείς κύστεις είναι καλοήθεις κυστικές βλάβες της 3ης κοιλίας, συνήθως σε στενή σχέση με το ενδοκοιλιακό τρήμα του Monro. Όταν παραμένουν μικρές σε μέγεθος συχνά πρόκειται για ασυμπτωματικές βλάβες, αλλά μπορεί να προκαλέσουν υδροκεφαλία, ακόμη και οξεία απόφραξη της ροής του ΕΝΥ. Στην MRI είναι τυπικά καλά περιγεγραμμένες βλάβες, με χαρακτηριστικό σήμα στις T1 ακολουθίες και απουσία πρόσληψης σκιαγραφικού. Στην CT εγκεφάλου απεικονίζονται ως υπέρπυκνες βλάβες, αν και λιγότερα συχνά μπορεί να είναι ισόπυκνες είτε υπόπυκνες.
Χειρουργικές προσπελάσεις και ενδοσκοπικές τεχνικές — πότε και γιατί;
Στην Neuroknife αντιμετωπίζουμε ολόκληρο το φάσμα των ενδοκοιλιακών όγκων εγκεφάλου εφαρμόζοντας εξατομικευμένη στρατηγική και διεθνή πρωτόκολλα θεραπείας. Η επιλογή της χειρουργικής προσπέλασης καθορίζεται από την εντόπιση και το μέγεθος της εξεργασίας, τη σχέση του όγκου με την φλεβική παροχέτευση και κρίσιμες ανατομικές δομές του εγκεφάλου, καθώς και τον θεραπευτικό στόχο είτε πρόκειται για υφολική εκτομή, είτε για μέγιστη ασφαλή χειρουργική εξαίρεση και αποκατάσταση της ροής του ΕΝΥ.
Οι βασικές χειρουργικές προσπελάσεις για ενδοκοιλιακές βλάβες εγκεφάλου περιλαμβάνουν:
- Διαμεσολόβιος (είσοδος στις κοιλίες διαμέσου του μεσολοβίου): συχνά χρήσιμη για πρόσβαση στα πρόσθια 2/3 των πλάγιων κοιλιών και πρόσθιες βλάβες με εντόπιση στην 3η κοιλία.
- Διαφλοιϊκή προσπέλαση (είσοδος στις κοιλίες διαμέσου του εγκεφαλικού φλοιού): εναλλακτική προσπέλαση με μικρή διατομή του φλοιού, η επιλογή γίνεται προσεκτικά και εξατομικευμένα.
- Ενδοσκοπική τεχνική: συχνότερα για βιοψία και αντιμετώπιση υδροκεφαλίας (π.χ. ενδοσκοπική τρίτη κοιλιοστομία). Σε επιλεγμένες ενδοκοιλιακές βλάβες μπορεί να χρησιμοποιηθεί για να επιτύχουμε πλήρη αφαίρεση.
- Υποϊνιακές προσπελάσεις για όγκους με εντόπιση στην 4η κοιλία του εγκεφάλου (μέση ή πλάγια προσπέλαση, ανά περίπτωση).
Γενικός κανόνας της Neuroknife είναι ότι ο στόχος μας δεν είναι μονάχα η πλήρης εξαίρεση του όγκου, αλλά η ασφαλής αφαίρεση της βλάβης όπου αυτή ενδείκνυται, σε συνδυασμό με την προστασία των ανατομικών δομών και την αποκατάσταση της φυσιολογικής ροής του ΕΝΥ σε περιπτώσεις συνοδού υδροκεφαλίας. Η χειρουργική στρατηγική προσαρμόζεται έτσι ώστε το ογκολογικό αποτέλεσμα να επιτυγχάνεται χωρίς να τίθεται σε κίνδυνο η λειτουργικότητα και η ποιότητα ζωής του ασθενούς.
Συχνές ερωτήσεις (FAQ)
Πότε χρειάζομαι επείγουσα εκτίμηση για ενδοκοιλιακό όγκο;
Αιφνίδια επιδείνωση κεφαλαλγίας με ναυτία/εμετούς, υπνηλία ή σύγχυση μπορεί να σημαίνει οξεία απόφραξη της ροής του ΕΝΥ και υδροκεφαλία. Σε παρόμοια συμπτώματα απαιτείται άμεση νευροχειρουργική αξιολόγηση.
Ποιες εξετάσεις είναι βασικές στη διάγνωση;
Κύρια εξέταση είναι η MRI εγκεφάλου με σκιαγραφικό (και κατά περίπτωση η MRI σπονδυλικής στήλης). Η CT εγκεφάλου βοηθά ιδιαίτερα στην ανάδειξη επασβεστώσεων και της πυκνότητας κυστικών βλαβών. Η διαφορική διάγνωση βασίζεται σε εντόπιση, ηλικία και πρότυπο σήματος/ενίσχυσης.
Πότε αρκεί η παρακολούθηση αντί για επέμβαση;
Σε επιλεγμένες ασυμπτωματικές βλάβες που δεν προκαλούν απόφραξη ροής ΕΝΥ ή υδροκεφαλία, μπορεί να προταθεί στενή παρακολούθηση με διαδοχικές MRI. Η απόφαση εξατομικεύεται με βάση την κλινική εικόνα και τα απεικονιστικά ευρήματα.
Ποιες είναι οι βασικές χειρουργικές/ενδοσκοπικές επιλογές;
Ανάλογα με την εντόπιση και τον θεραπευτικό στόχο (βιοψία, εκτομή, αποκατάσταση ροής ΕΝΥ), μπορεί να χρησιμοποιηθούν η διαμεσολόβιος είτε διαφλοιϊκή προσπέλαση για πρόσβαση των βλαβών στις πλάγιες κοιλίες/3η κοιλία, υποϊνιακή προσπέλαση για βλάβες της 4ης κοιλίας, καθώς και ενδοσκοπικές τεχνικές για βιοψία και αντιμετώπιση υδροκεφαλίας (π.χ. ενδοσκοπική τρίτη κοιλιοστομία).
Τι πρέπει να ρωτήσω τον νευροχειρουργό μου;
- Υπάρχει υδροκεφαλία ή κίνδυνος απόφραξης της ροής του ΕΝΥ;
- Ποιος είναι ο πιθανότερος τύπος βλάβης με βάση την εντόπιση/ηλικία/MRI;
- Χρειάζεται παρακολούθηση, αντιμετώπιση της υδροκεφαλίας, βιοψία ή χειρουργική αφαίρεση;
- Ποια προσπέλαση προτείνετε και γιατί (διαμεσολόβιος/διαφλοιϊκή/ενδοσκοπική/υποϊνιακή);
- Ποιοι είναι οι ρεαλιστικοί στόχοι και οι βασικοί κίνδυνοι/επιπλοκές;
- Ποιο είναι το πλάνο παρακολούθησης μετά τη θεραπεία;
Πότε χρειάζεστε εξειδικευμένη εκτίμηση για ενδοκοιλιακό όγκο εγκεφάλου;
Όταν έχει τεθεί διάγνωση ενδοκοιλιακής μάζας σε MRI ή CT, ή όταν υπάρχουν συμπτώματα που υποδηλώνουν υδροκεφαλία, θεωρούμε την έγκαιρη νευροχειρουργική εκτίμηση κρίσιμη. Η έγκαιρη αξιολόγηση από την εξειδικευμένη ομάδα της Neuroknife επιτρέπει να καθοριστεί με ακρίβεια αν η ενδεδειγμένη θεραπεία είναι η στενή παρακολούθηση, η ενδοσκοπική αποκατάσταση της ροής του ΕΝΥ, η διαγνωστική βιοψία είτε η χειρουργική αφαίρεση της βλάβης. Η απόφαση λαμβάνεται εξατομικευμένα, με βάση τα απεικονιστικά ευρήματα, τη νευρολογική κατάσταση και ύστερα από συνεκτίμηση του κινδύνου/οφέλους για τον ασθενή.
Κλείστε ραντεβού / Ζητήστε δεύτερη γνώμη© Neuroknife — Πρωτότυπο ιατρικό περιεχόμενο των ιατρών μας, παρέχεται αποκλειστικά για εκπαίδευση και ενημέρωση ασθενών.
