Kρανιοφαρυγγίωμα και Άλλοι Παιδιατρικοί Όγκοι Εγκεφάλου (Μη-PNET, Μη-Γλοιώματα)
Δομημένη, αλλά κατανοητή ενημέρωση για τους λιγότερο συχνούς παιδιατρικούς όγκους εγκεφάλου – από τους βλαστικούς όγκους και τα κρανιοφαρυγγώματα μέχρι τους νευρωνικούς όγκους και τα νεοπλάσματα χοριοειδούς πλέγματος.
Οι όγκοι του εγκεφάλου και του κεντρικού νευρικού συστήματος αποτελούν τη δεύτερη συχνότερη ομάδα κακοηθειών στα παιδιά μετά τις λευχαιμίες. Πέρα από τα γλοιώματα και τα εμβρυϊκά νεοπλάσματα, υπάρχει μια ομάδα λιγότερο συχνών όγκων – ενδοκράνιοι βλαστικοί όγκοι (germinoma / NGGCT), κρανιοφαρυγγίωμα, νευρωνικοί όγκοι (DNET, γαγγλιογλοίωμα, κεντρικό νευροκύτωμα), όγκοι χοριοειδούς πλέγματος και σπανιότεροι όγκοι, όπως μηνιγγίωμα, αδένωμα υπόφυσης, πρωτοπαθές λέμφωμα ΚΝΣ και αιμαγγειοβλάστωμα. Πολλοί από αυτούς είναι δυνητικά ιάσιμοι όταν αντιμετωπιστούν έγκαιρα και σε εξειδικευμένο κέντρο.
Τι είναι αυτοί οι όγκοι και πώς διαχωρίζονται;
Μια «ομπρέλα» κατηγοριών – από καθαρά καλοήθεις όγκους με εξαιρετική πρόγνωση μέχρι πιο επιθετικά νεοπλάσματα που απαιτούν συνδυασμένη θεραπεία.
Στην ενότητα αυτή περιλαμβάνονται κυρίως οι εξής ομάδες:
- Ενδοκράνιοι βλαστικοί όγκοι (intracranial germ cell tumors – GCTs): εμφανίζονται κυρίως στην επίφυση ή/και στην υπερεφιππιακή περιοχή. Χωρίζονται σε γερμίνωμα και μη-γερμινωματώδεις όγκους (NGGCTs).
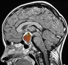
- Κρανιοφαρυγγίωμα: καλοήθης (WHO grade I) αλλά τεχνικά απαιτητικός όγκος της υπόφυσης/υποθαλάμου, με επίδραση στην όραση και στο ενδοκρινολογικό σύστημα.
- Νευρωνικοί όγκοι: γαγγλιογλοίωμα, γαγγλιοκύτωμα, DNET (δυσεμβρυοπλαστικός νευροεπιθηλιακός όγκος), κεντρικό νευροκύτωμα, συχνά καλοήθεις όγκοι που σχετίζονται με επιληψία.
- Όγκοι χοριοειδούς πλέγματος: θήλωμα χοριοειδούς πλέγματος(CPP, καλοήθης) και καρκίνωμα χοριοειδούς πλέγματος(CPC, κακοήθης), ενδοκοιλιακοί και εξαιρετικά αγγειοβρίθεις όγκοι.
- Σπανιότεροι όγκοι: μηνιγγίωμα, αδένωμα υπόφυσης, πρωτοπαθές λέμφωμα ΚΝΣ, αιμαγγειοβλάστωμα (συχνά στα πλαίσια συνδρόμου von Hippel–Lindau).
Κοινό χαρακτηριστικό όλων αυτών είναι ότι απαιτούν ακριβή διάγνωση, εμπειρία στην παιδιατρική νευροχειρουργική και στενή συνεργασία με παιδοογκολόγους, ενδοκρινολόγους και άλλες ειδικότητες.
Πόσο συχνοί είναι και σε ποιες ηλικίες εμφανίζονται;
Σπάνιοι σε σχέση με τα γλοιώματα, αλλά συνολικά αποτελούν σημαντικό ποσοστό των παιδιατρικών όγκων εγκεφάλου.
Οι ενδοκράνιοι βλαστικοί όγκοι αντιστοιχούν σε λιγότερο από 4% των παιδιατρικών όγκων εγκεφάλου και εμφανίζονται κυρίως σε μεγαλύτερα παιδιά και εφήβους. Τα κρανιοφαρυγγιώματα αποτελούν περίπου 5–10% των πρωτοπαθών παιδιατρικών όγκων εγκεφάλου, με κορύφωση εμφάνισης μεταξύ 5–15 ετών.
Οι νευρωνικοί όγκοι όπως τα DNETs και τα γαγγλιογλοιώματα εμφανίζονται συνήθως σε παιδιά και νεαρούς ενήλικες με εστιακή επιληψία, ενώ τα θηλώματα χοριοειδούς πλέγματος είναι συχνότερα σε βρέφη και μικρά παιδιά (< 3 ετών). Οι υπόλοιποι όγκοι (μηνιγγίωμα, αδένωμα υπόφυσης, λεμφώματα, αιμαγγειοβλαστώματα) είναι ακόμη πιο σπάνιοι στον παιδιατρικό πληθυσμό, αλλά πρέπει να αναγνωρίζονται έγκαιρα.
Ποια είναι τα συνήθη συμπτώματα;
Η κλινική εικόνα εξαρτάται από τη θέση: υδροκέφαλος, ορμονικές διαταραχές, προβλήματα όρασης ή επιληπτικές κρίσεις.
Ενδοκράνιοι βλαστικοί όγκοι (επίφυση / υπερεφιππιακή χώρα):
- συμπτώματα αυξημένης ενδοκρανιακής πίεσης (πονοκέφαλος, έμετοι, υπνηλία),
- διαταραχές οφθαλμικών κινήσεων (σύνδρομο Parinaud – δυσκολία στο βλέμμα προς τα πάνω, σύγκλιση–ανάσπαση των ματιών),
- ορμονικές διαταραχές: άποιος διαβήτης, πρώιμη ή καθυστερημένη ήβη, διαταραχές ανάπτυξης.
Κρανιοφαρυγγίωμα:
- επίμονοι πονοκέφαλοι και προβλήματα όρασης (απώλεια οπτικών πεδίων, θάμβος),
- πολυουρία–πολυδιψία, χαμηλό ανάστημα, διαταραχές ήβης,
- ταχεία αύξηση βάρους ή παχυσαρκία χωρίς προφανή λόγο.
Νευρωνικοί όγκοι (DNET, γαγγλιογλοίωμα, κεντρικό νευροκύτωμα):
- εστιακές επιληπτικές κρίσεις, συχνά ανθεκτικές σε φαρμακευτική αγωγή,
- σε κεντρικό νευροκύτωμα: συμπτώματα υδροκεφαλίας λόγω απόφραξης στο τρήμα του Monro.
Όγκοι χοριοειδούς πλέγματος:
- ταχεία αύξηση περιμέτρου κεφαλής σε βρέφη,
- υδροκεφαλία, ευερεθιστότητα, έμετοι, υπνηλία.
Οι σπανιότεροι όγκοι (μηνιγγίωμα, αδένωμα υπόφυσης, PCNSL, αιμαγγειοβλάστωμα) μπορεί να προκαλέσουν πονοκεφάλους, προοδευτική νευρολογική σημειολογία ή ορμονικές διαταραχές. Η επιμονή συμπτωμάτων όπως πονοκέφαλος με έμετο, επιληπτικές κρίσεις ή διαταραχές όρασης σε παιδί απαιτεί άμεση διερεύνηση.
Πώς γίνεται η διάγνωση;
Συνδυασμός μαγνητικής τομογραφίας, εξειδικευμένων εργαστηριακών εξετάσεων και, συχνά, χειρουργικής βιοψίας ή εκτομής.
Ο αρχικός διαγνωστικός έλεγχος περιλαμβάνει συνήθως:
- MRI εγκεφάλου με σκιαγραφικό – καθορίζει τη θέση, το μέγεθος και τη σχέση με κρίσιμες δομές (υποθάλαμος, οπτική οδός, κοιλίες, αγγεία).
- MRI σπονδυλικής στήλης όταν υπάρχει υποψία διασποράς (ιδίως σε NGGCT ή CPC).
- Ορμονικό προφίλ και οφθαλμολογικό έλεγχο σε όγκους της υπόφυσης/υποθαλάμου ή υπερεφιππιακής χώρας.
- Σε βλαστικούς όγκους: μέτρηση AFP και β-HCG σε αίμα και ΕΝΥ, που βοηθούν στην ταξινόμηση (γερμίνωμα vs NGGCT).
Η οριστική διάγνωση γίνεται με ιστολογική εξέταση του όγκου μετά από βιοψία ή χειρουργική εκτομή. Συχνά η χειρουργική προσέγγιση συνδυάζεται με αντιμετώπιση της υδροκεφαλίας, π.χ. ενδοσκοπική τρίτη κοιλιοστομία (ETV) σε όγκους της επίφυσης.
Πώς ταξινομούνται και τι σημαίνουν οι ογκολογικοί δείκτες;
Σε ορισμένες κατηγορίες, όπως οι βλαστικοί όγκοι, οι δείκτες στο αίμα και στο ΕΝΥ είναι κρίσιμοι για τη θεραπεία και την πρόγνωση.
Στους ενδοκράνιους βλαστικούς όγκους (GCTs) διακρίνουμε:
- Γερμίνωμα: συνήθως δεν παράγει AFP, μπορεί όμως να έχει ήπια αύξηση β-HCG. Είναι πολύ ευαίσθητο στην ακτινοθεραπεία και έχει εξαιρετική πρόγνωση.
- Μη-γερμινωματώδεις όγκοι (NGGCTs): κατηγορίες όπως όγκος λεκιθικού ασκού (yolk sac), χοριοκαρκίνωμα, εμβρυϊκό καρκίνωμα ή μικτοί όγκοι – παράγουν AFP, β-HCG ή και τα δύο. Συνήθως πιο επιθετικοί, απαιτούν συνδυασμό χειρουργείου, χημειοθεραπείας και εκτεταμένης ακτινοθεραπείας.
Κρανιοφαρυγγίωμα: κατατάσσεται ως WHO grade I, αλλά η συμπεριφορά του επηρεάζεται από τη θέση και την πρόσφυση στον υποθάλαμο και την οπτική οδό. Υπάρχουν δύο ιστολογικοί τύποι: αδαμαντινοματώδη (συχνός στα παιδιά, με ασβεστώσεις και «motor oil» κύστεις) και θηλώδη (κυρίως σε ενήλικες).
Νευρωνικοί όγκοι & χοριοειδές πλέγμα: τα DNETs, γαγγλιογλοιώματα και γαγγλιοκυττώματα είναι συνήθως καλοήθεις νευρωνικοί όγκοι με εξαιρετική πρόγνωση μετά από πλήρη εκτομή. Τα θηλώματα χοριοειδούς πλέγματος(CPP) είναι επίσης καλοήθη, ενώ τα καρκινώματα χοριοειδούς πλέγματος(CPC) είναι υψηλής κακοήθειας και απαιτούν επιθετική θεραπεία (χειρουργείο, χημειοθεραπεία, ακτινοθεραπεία).
Ποιες είναι οι βασικές θεραπευτικές επιλογές;
Ο συνδυασμός χειρουργικής θεραπείας, ακτινοθεραπείας και χημειοθεραπείας προσαρμόζεται στον τύπο του όγκου, την ηλικία και τη γενική κατάσταση του παιδιού.
Η αντιμετώπιση οργανώνεται πάντα σε πολυεπιστημονικό συμβούλιο με παιδονευροχειρουργούς, παιδοογκολόγους, παιδοακτινοθεραπευτές, ενδοκρινολόγους, οφθαλμιάτρους και ομάδα υποστηρικτικών ειδικοτήτων.
Γενικά, οι άξονες θεραπείας περιλαμβάνουν:
- Χειρουργική επέμβαση – για αποσυμπίεση, αφαίρεση όσο το δυνατόν μεγαλύτερου ποσοστού όγκου και λήψη ιστολογικής διάγνωσης.
- Ακτινοθεραπεία – βασική σε γερμίνωμα, υπολειπόμενο κρανιοφαρυγγίωμα, καρκίνωμα χοριοειδούς πλέγματος, και ορισμένους άλλους όγκους.
- Χημειοθεραπεία – απαραίτητη σε μη-γερμινωματώδεις όγκους (NGGCTs), καρκίνωμα χοριοειδούς πλέγματος (CPC), πρωτοπαθές λέμφωμα ΚΝΣ (PCNSL) και σε επιλεγμένες περιπτώσεις σπανιότερων όγκων.
- Ενδοκρινολογική και νευροψυχολογική υποστήριξη – συχνά εφόρου ζωής, ιδίως σε παιδιά με κρανιοφαρυγγίωμα ή όγκους υποθαλάμου/υπόφυσης.
Πότε αρκεί μόνο το χειρουργείο;
Σε αρκετούς από αυτούς τους όγκους, η πλήρης εκτομή από εξειδικευμένο κέντρο μπορεί να είναι πρακτικά θεραπευτική.
- Γερμίνωμα: το χειρουργείο περιορίζεται συνήθως σε βιοψία και αντιμετώπιση της υδροκεφαλίας – η οριστική θεραπεία είναι ακτινοθεραπεία ± χημειοθεραπεία.
- Μη-γερμινωματώδεις όγκοι (NGGCTs): στόχος είναι η μέγιστη ασφαλής εκτομή σε συνδυασμό με χημειοθεραπεία και κρανιοσπονδυλική ακτινοθεραπεία.
- DNET, γαγγλιογλοίωμα, γαγγλιοκύτωμα, κεντρικό νευροκύτωμα, CPP: η πλήρης εκτομή είναι συνήθως οριστική θεραπεία, χωρίς ανάγκη συμπληρωματικής ακτινοθεραπείας.
- Κρανιοφαρυγγίωμα: στοχεύουμε σε όσο το δυνατόν μεγαλύτερη εκτομή χωρίς βλάβη υποθαλάμου/οπτικής οδού· συχνά συμπληρώνεται με ακτινοθεραπεία.
Ποιες επιπλοκές και μακροχρόνιες συνέπειες μπορεί να υπάρξουν;
Η ίδια η νόσος και η θεραπεία μπορούν να επηρεάσουν την όραση, το ορμονικό σύστημα, να προκαλέσουν επιληψία και να καθυστερήσουν την συνολική ανάπτυξη του παιδιατρικού ασθενούς, γι’ αυτό χρειάζεται μακροχρόνια φροντίδα.
Ενδεικτικά, ανά κατηγορία όγκων:
- Βλαστικοί όγκοι – κίνδυνος υποθαλαμικών/υποφυσιακών διαταραχών, έκπτωσης γνωστικών λειτουργειών από ακτινοθεραπεία και ανάγκη παρακολούθησης για διασπορά στον άξονα εγκεφάλου/σπονδυλικής στήλης.
- Κρανιοφαρυγγίωμα – συχνή μόνιμη πανυποφυσιακή ανεπάρκεια, προβλήματα όρασης, διαταραχές βάρους και μεταβολισμού, ανάγκη δια βίου ενδοκρινολογικής παρακολούθησης.
- Νευρωνικοί όγκοι – η σωστή εκτομή μπορεί να οδηγήσει σε ύφεση της επιληψίας, αλλά απαιτείται παρακολούθηση για υποτροπές κρίσεων και πιθανή ρύθμιση φαρμάκων.
- Όγκοι χοριοειδούς πλέγματος – κίνδυνος σημαντικής αιμορραγίας στο χειρουργείο και, σε κακοήθεις μορφές, διασποράς μέσω του ΕΝΥ.
Ποια είναι η πρόγνωση;
Πολλά από αυτά τα νεοπλάσματα έχουν πολύ υψηλά ποσοστά ίασης, ενώ άλλα απαιτούν πιο επιθετική και μακρά θεραπεία.
- Γερμίνωμα: 5ετής επιβίωση > 90% με σύγχρονα σχήματα ακτινοθεραπείας/χημειοθεραπείας.
- Μη-γερμινωματώδεις όγκοι (NGGCTs): συνολικά πιο φτωχή πρόγνωση, αλλά βελτιωμένη με επιθετική θεραπεία· εξαρτάται από τον ακριβή ιστολογικό τύπο και την ανταπόκριση.
- Κρανιοφαρυγγίωμα: υψηλή πιθανότητα μακροχρόνιου ελέγχου της νόσου, αλλά με σημαντική νοσηρότητα (ενδοκρινολογική, μεταβολική, οπτικές διαταραχές).
- DNET, γαγγλιογλοίωμα, CPP, κεντρικό νευροκύτωμα: εξαιρετική πρόγνωση μετά από πλήρη εκτομή, με χαμηλά ποσοστά υποτροπής.
Η πρόγνωση κάθε παιδιού εξαρτάται από τον τύπο του όγκου, τον βαθμό εκτομής, την ύπαρξη διασποράς και τυχόν συνοδά γενετικά σύνδρομα. Στη Neuroknife αφιερώνουμε χρόνο για να εξηγούμε στην οικογένεια με απλά λόγια τι σημαίνουν όλα αυτά για το μέλλον του παιδιού.
Πώς οργανώνεται η παρακολούθηση;
Συστηματικός έλεγχος με μαγνητικές, ενδοκρινολογικές εξετάσεις και νευροψυχολογική υποστήριξη, συχνά σε βάθος πολλών ετών.
Τυπικά η παρακολούθηση περιλαμβάνει:
- τακτικές MRI εγκεφάλου (και σπονδυλικής στήλης όπου χρειάζεται),
- ενδοκρινολογικό έλεγχο (θυρεοειδής, κορτιζόλη, αυξητική ορμόνη, φυλετικές ορμόνες) και ρύθμιση θεραπείας υποκατάστασης,
- οφθαλμολογικό έλεγχο για οπτική οξύτητα και οπτικά πεδία, όπου υπάρχει εμπλοκή οπτικής οδού,
- νευροψυχολογική αξιολόγηση, με υποστήριξη στην σχολική και κοινωνική ένταξη του παιδιού.
Πρακτικά θέματα για γονείς και παιδιά
Πέρα από τη θεραπεία, η καθημερινότητα, το σχολείο και η ψυχολογία του παιδιού και της οικογένειας είναι εξίσου σημαντικά.
Στη Neuroknife δίνουμε ιδιαίτερη έμφαση σε:
- σαφή και ειλικρινή ενημέρωση για τη διάγνωση, τις θεραπευτικές επιλογές και τις πιθανές επιπλοκές,
- συνεργασία με το σχολείο, την ειδική αγωγή και τους συμβούλους εκπαίδευσης όταν χρειάζεται,
- πρακτική καθοδήγηση για τη φαρμακευτική αγωγή, τις ορμόνες και τα σημάδια που πρέπει να ανησυχήσουν τους γονείς,
- ψυχολογική υποστήριξη του παιδιού και της οικογένειας, όταν αυτό είναι επιθυμητό.
Τι να ρωτήσω τον παιδονευροχειρουργό μου;
Χρήσιμες ερωτήσεις στην πρώτη ή δεύτερη γνώμη
- Ποιος είναι ακριβώς ο ιστολογικός τύπος του όγκου του παιδιού μου;
- Ποιες είναι οι ρεαλιστικές θεραπευτικές επιλογές και σε ποιο κέντρο θα γίνουν;
- Ποιος είναι ο στόχος του χειρουργείου και ποιοι είναι οι κύριοι κίνδυνοι;
- Θα χρειαστεί επιπλέον ακτινοθεραπεία ή/και χημειοθεραπεία; Με ποια σχήματα;
- Ποιες είναι οι πιθανές μακροχρόνιες ορμονικές ή γνωστικές επιπτώσεις;
- Κάθε πότε θα γίνονται MRI και ενδοκρινολογικός έλεγχος μετά το τέλος της θεραπείας;
- Χρειάζεται το παιδί ειδική εκπαιδευτική ή ψυχολογική υποστήριξη από νωρίς;
- Υπάρχουν κλινικές μελέτες ή εξειδικευμένες θεραπείες που θα μπορούσαν να ωφελήσουν τον ασθενή;
Η ομάδα Neuroknife συνοδεύει την οικογένεια σε όλη τη διαδρομή – από τη διάγνωση και το πρώτο χειρουργείο, μέχρι τη μακροχρόνια παρακολούθηση. Στόχος μας είναι όχι μόνο ο έλεγχος της νόσου, αλλά και η όσο το δυνατόν πιο πλήρης, ασφαλής και ποιοτική ζωή για το παιδί σας.
Πότε να ζητήσετε εξειδικευμένη παιδονευροχειρουργική γνώμη;
Αν το παιδί σας έχει διαγνωστεί με κάποιον από αυτούς τους όγκους ή αν υπάρχει υποψία όγκου εγκεφάλου με βάση τη μαγνητική τομογραφία, είναι κρίσιμο να αξιολογηθεί από ομάδα με εμπειρία στην παιδική νευροογκολογία.
Στη Neuroknife οργανώνουμε γρήγορο δεύτερο γνωμοδοτικό έλεγχο, ανασκόπηση εικόνων και ιστολογίας, συζήτηση σε διεπιστημονικό συμβούλιο και στενή συνεργασία με παιδοογκολόγους και εξειδικευμένα κέντρα στην Ελλάδα και στο εξωτερικό όπου χρειάζεται.
Κλείστε ραντεβού ή ζητήστε δεύτερη γνώμη