ΕΚΠΑΙΔΕΥΣΗ ΑΣΘΕΝΩΝ

Συριγγομυελία & Σύνδρομο Καθηλωμένου Νωτιαίου Μυελού (Tethered Cord)

Η συριγγομυελία είναι η δημιουργία κοιλότητας γεμάτης υγρό μέσα στον νωτιαίο μυελό (σύριγγα), ενώ το σύνδρομο καθηλωμένου νωτιαίου μυελού είναι μια κατάσταση όπου ο μυελός βρίσκεται υπό παθολογική τάση λόγω καθηλώσεως/αγκύλωσης, οδηγώντας σε νευρολογική, ορθοπαιδική και ουρολογική δυσλειτουργία.

Και οι δύο οντότητες συνδέονται συχνά με υποκείμενες ανατομικές ή αναπτυξιακές διαταραχές. Η βασική αρχή είναι σαφής: πρώτα αναζητούμε και αντιμετωπίζουμε την αιτία (όταν είναι εφικτό), ώστε να αποκατασταθεί η φυσιολογική δυναμική του εγκεφαλονωτιαίου υγρού (ΕΝΥ) και να αρθεί η παθολογική τάση στον νωτιαίο μυελό.

Συρίγγιο νωτιαίου μυελού Δυναμική ΕΝΥ & Chiari I Συριγγομυελία (syringomyelia/syringobulbia) Καθηλωμένος νωτιαίος μυελός Δυσραφισμός & λιπώδες τελικό νημάτιο

Τι είναι η συριγγομυελία και τι είναι το tethered cord;

Δύο διαφορετικές παθήσεις της σπονδυλικής στήλης και του νωτιαίου μυελού, που όμως συχνά συνδέονται με υποκείμενες ανατομικές ανωμαλίες και απαιτούν προσεκτική διερεύνηση.

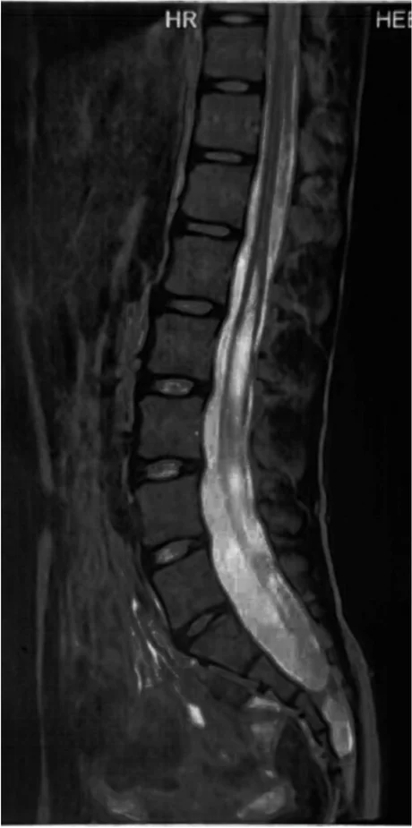
Συριγγομυελία ονομάζουμε τη δημιουργία μιας ενδομυελικής κοιλότητας γεμάτης υγρό μέσα στον νωτιαίο μυελό (syrinx). Συνήθως εντοπίζεται μεταξύ Α2–Θ9, αλλά μπορεί:

  • να επεκταθεί προς το εγκεφαλικό στέλεχος (syringobulbia),
  • ή προς τον μυελικό κώνο.

Σύνδρομο καθηλωμένου νωτιαίου μυελού (tethered cord) είναι κλινική κατάσταση όπου ο νωτιαίος μυελός βρίσκεται υπό παθολογική έλξη/τάση επειδή έχει καθηλωθεί από κάποια ανατομική αιτία. Συχνά σχετίζεται με δυσραφισμούς και μπορεί να προκαλέσει: νευρολογικά, ορθοπαιδικά και ουρολογικά προβλήματα.

Ποιες είναι οι συχνότερες αιτίες;

Στη συριγγομυελία αναζητούμε κυρίως αιτίες που επηρεάζουν τη ροή του ΕΝΥ. Στο tethered cord αναζητούμε αιτίες καθήλωσης του μυελού ή του τελικού νηματίου.

Αιτίες συριγγομυελίας

  • Δυσπλασία Arnold–Chiari τύπου I (συχνότερη συσχέτιση).
  • Παθήσεις της κρανιοαυχενικής συμβολής: basilar invagination, os odontoideum, αραχνοειδείς κύστεις οπισθίου βόθρου.
  • Μετατραυματικές, μεταφλεγμονώδεις ή μεταλοιμώδεις συμφύσεις/αραχνοειδίτιδα.
  • Διαταραχή της ροής ΕΝΥ από αραχνοειδείς συμφύσεις, σπανιότερα από σημαντική στένωση με μπλοκάρισμα ροής.
  • Συσχέτιση με ενδομυελικούς όγκους (π.χ. επενδύμωμα, αιμαγγειοβλάστωμα) – χρειάζεται διάκριση από κυστικούς όγκους.

Αιτίες tethered cord

  • Πεπαχυσμένο τελικό νημάτιο (tight/thickened filum).
  • Λιπώδες τελικό νημάτιο (fatty filum).
  • Μυελομηνιγγοκήλη ή λιπομυελομηνιγγοκήλη.
  • Διαστηματομυελία (split cord malformation / diastematomyelia).
  • Δερματικός πόρος (dermal sinus tract) και συγγενείς ανωμαλίες.
  • Ενδοσπονδυλικά λιπώματα ή άλλες βλάβες που προκαλούν καθήλωση του νωτιαίου μυελού.

Σημαντικό: μία σύριγγα με «άγνωστη αιτία» απαιτεί πλήρη διαγνωστική διερεύνηση και απεικόνιση με σκιαγραφικό ώστε να αποκλειστεί πιθανός ενδομυελικός όγκος.

Πώς δημιουργείται ένα συρίγγιο – τι σημαίνει «διαταραχή ροής ΕΝΥ»;

Η συριγγομυελία συνδέεται συχνά με «μπλοκάρισμα» ή δυσλειτουργία της φυσιολογικής ροής και των πιέσεων του εγκεφαλονωτιαίου υγρού (ΕΝΥ).

Η παθοφυσιολογία δεν είναι πλήρως αποσαφηνισμένη. Μία ευρέως αποδεκτή θεωρία είναι ότι όταν υπάρχει απόφραξη στον υπαραχνοειδή χώρο, ο νωτιαίος σωλήνας δεν «αποσβένει» φυσιολογικά τα κύματα πίεσης του ΕΝΥ (που δημιουργούνται με κάθε καρδιακό παλμό). Η αύξηση της πίεσης πάνω από το σημείο απόφραξης μπορεί να ωθήσει το ΕΝΥ μέσα στον νωτιαίο μυελό, οδηγώντας στη δημιουργία και την περαιτέρω επέκταση της συριγγομυελίας.

Γι’ αυτό, η πιο αποτελεσματική θεραπευτική στρατηγική είναι να αποκατασταθεί η φυσιολογική ροή του ΕΝΥ όπου και εαν αυτή παρεμποδίζεται.

Πώς προκαλεί συμπτώματα ο καθηλωμένος νωτιαίος μυελός;

Το τελικό νημάτιο φυσιολογικά λειτουργεί ως «συνδετικός ιστός» με αυξημένη ελαστικότητα. Όταν χάνει την ελαστικότητά του ή όταν υπάρχουν άλλες καθηλωτικές βλάβες, ή συμφύσεις, ο μυελός υφίσταται χρόνια τάση.

Η αυξημένη τάση μπορεί να οδηγήσει σε δυσλειτουργία του μυελού και των ριζών, πιθανώς μέσω:

  • μηχανικής «έλξης» σε νευρικές δομές,
  • διαταραχής αιμάτωσης/μικροκυκλοφορίας,
  • σταδιακής επιδείνωσης με την ανάπτυξη/άυξηση ύψους, ιδιαίτερα σε φάσεις ταχείας ανάπτυξης στα παιδιά.

Γι’ αυτό στα παιδιά, η καθυστέρηση ή παλινδρόμηση των αναπτυξιακών σταδίων (π.χ. βάδιση, έλεγχος ούρων), πρέπει πάντα να αξιολογείται για υποκείμενη παθολογία.

Ποια συμπτώματα πρέπει να σας ανησυχήσουν στη συριγγομυελία;

Τα συμπτώματα μπορεί να οφείλονται είτε στην υποκείμενη αιτία (π.χ. Chiari I) είτε στην ίδια τη συριγγομυελία. Η εικόνα και τα συμπτώματα είναι συχνά ασύμμετρα.

Συχνά κλινικά στοιχεία που σχετίζονται με συριγγομυελία:

  • Απώλεια αίσθησης άλγους & θερμοκρασίας σε κατανομή «κάπας/μανδύα» πάνω από ώμους και τα άνω άκρα (cape-like distribution), λόγω προσβολής των διασταυρούμενων ινών στον πρόσθιο λευκό σύνδεσμο.
  • Αδυναμία/ατροφία άνω άκρων (ιδίως σε αυχενική συριγγομυελία) από εμπλοκή των προσθίων κεράτων.
  • Σημεία άνω κινητικού νευρώνα (σπαστικότητα, αυξημένα τενόντια αντανακλαστικά) όταν επηρεάζεται η πυραμιδική οδός.
  • Δυσαισθησίες/νευροπαθητικός πόνος (καύσος, «ηλεκτρισμός»), που μπορεί να είναι δυσανάλογα των απεικονιστικών ευρημάτων.
  • Αυτόνομες διαταραχές όπως ανιδρωσία (μειωμένη εφίδρωση) σε συγκεκριμένες περιοχές.

Σημαντικό: κάποιοι ασθενείς μπορεί να έχουν ελάχιστα ή καθόλου συμπτώματα, ιδιαίτερα όταν το συρίγγιο είναι μικρό ή σταθερό.

Ποια συμπτώματα πρέπει να σας ανησυχήσουν (tethered cord);

Τα συμπτώματα αφορούν κυρίως τρία συστήματα: νευρολογικό, ορθοπαιδικό και ουρολογικό. Η κλινική εικόνα διαφέρει ανάλογα με την ηλικία.

Σημεία που μπορεί να φανούν στην εξέταση

  • Δερματικά στίγματα δυσραφισμού στη μέση γραμμή της ράχης: βοθρίο/σχισμή, δερματικός πόρος, υπερτρίχωση (hair tuft), αιμαγγείωμα, σπίλος, λιπώδης μάζα, θήλωμα.
  • Σκολίωση ή ασυμμετρίες κορμού και άκρων.
  • Ορθοπαιδικές παραμορφώσεις: ραιβοϊπποποδία, pes cavus, hammertoes, ανισοσκελία, παραμορφώσεις ποδοκνημικής.

Συμπτώματα ανά σύστημα

  • Νευρολογικά: πόνος στη μέση/στα πόδια, αδυναμία, αισθητικές διαταραχές, δυσκολία βάδισης, βάδισμα στις μύτες (σε παιδιά), καθυστέρηση κινητικών οροσήμων.
  • Ουρολογικά: ακράτεια, συχνουρία, υποτροπιάζουσες ουρολοιμώξεις, δυσλειτουργία κένωσης. Σε βρέφη, η «αδύναμη ροή ούρων» μπορεί να είναι έμμεση ένδειξη.
  • Ορθοπαιδικά: επιδείνωση σκολίωσης, παραμορφώσεις άκρων, πόνος και λειτουργικός περιορισμός.

Στα παιδιά, οποιαδήποτε παλινδρόμηση (π.χ. παιδί που είχε έλεγχο ούρων και τον χάνει, ή παιδί που περπατούσε και εμφανίζει διαταραχή βάδισης) πρέπει να αξιολογείται άμεσα.

Πώς γίνεται η διάγνωση – ποιες εξετάσεις χρειάζονται;

Η σωστή διάγνωση απαιτεί ιστορικό, λεπτομερή νευρολογική εξέταση και στοχευμένη απεικόνιση. Η εξέταση είναι συχνά «οδηγός» για το τι θα αναζητήσουμε στην MRI.

MRI – εξέταση κλειδί

  • Συριγγομυελία: MRI αυχενικής/θωρακικής/οσφυϊκής μοίρας ανάλογα με την επέκταση και συχνά MRI εγκεφάλου/κρανιοαυχενικής συμβολής για έλεγχο δυσπλασίας Chiari ή άλλων συγγενών παθολογιών.
  • Συρίγγιο άγνωστης αιτιολογίας: MRI με σκιαγραφικό για αποκλεισμό ενδομυελικού όγκου.
  • Tethered cord: MRI θωρακο-οσφυϊκής μοίρας για εντόπιση του επιπέδου του μυελικού κώνου, απεικόνιση τελικού νηματίου για πιθανά λιπώδη στοιχεία ή άλλες συνοδές ανωμαλίες. Σε ειδικές περιπτώσεις, αξιολόγηση σε ύπτια/πρηνή θέση για έλεγχο κινητικότητας (κατά περίπτωση).

Υπερηχογράφημα σε βρέφη

Σε βρέφη (περίπου έως 3–4 μηνών), το υπερηχογράφημα σπονδυλικής στήλης μπορεί να είναι χρήσιμο ως αρχικός απεικονιστικός έλεγχος, λόγω ευκολίας στην εκτέλεση χωρίς ανάγκη καταστολής/αναισθησίας.

Ουροδυναμικός έλεγχος (ιδίως στο tethered cord)

Οι ουροδυναμικές μελέτες είναι ιδιαίτερα χρήσιμες για διάγνωση και παρακολούθηση, συχνά δείχνοντας: υπερδραστήριο εξωστήρα, δυσσυνεργία εξωστήρα–σφιγκτήρα, μειωμένη ευενδοτότητα κύστης ή διαταραχή αισθητικότητας.

Πότε χρειάζεται θεραπεία και πότε παρακολούθηση;

Η παρουσία συριγγομυελίας ή μυελικού κώνου σε χαμηλό σπονδυλικό επίπεδο ΔΕΝ σημαίνει απαραίτητα και ανάγκη χειρουργείου. Η απόφαση βασίζεται σε: παρουσία συνοδών συμπτωμάτων, εξέλιξη στο χρόνο και την ανάδειξη σαφής αιτιολογίας.

  • Συριγγομυελία:
    • Χρειάζεται ενεργή θεραπεία όταν υπάρχει υποκείμενη διορθώσιμη αιτία (π.χ. Chiari I) ή όταν υπάρχουν προοδευτικά νευρολογικά ελλείμματα.
    • Η σταθερή, ασυμπτωματική συριγγομυελία μπορεί, σε επιλεγμένες περιπτώσεις, να παρακολουθείται στενά με κλινικό έλεγχο & MRI.
  • Tethered cord:
    • Συμπτωματικοί ασθενείς με απεικονιστικά στοιχεία tethering συνήθως ωφελούνται από μικροχειρουργική αποδέσμευση (detethering).
    • Οι ασυμπτωματικές ή «οριακές» περιπτώσεις απαιτούν εξατομίκευση, ειδικά όταν η κλινική εικόνα είναι ήπια ή η θέση του κώνου φυσιολογική.

Σε παιδιά με ιστορικό μυελομηνιγγοκήλης, όταν εμφανίζονται νέα ανησυχητικά συμπτώματα, είναι κρίσιμο να αποκλειστεί πρώτα η δυσλειτουργία βαλβίδας παροχέτευσης ΕΝΥ πριν αποδοθούν τα συμπτώματα σε «retethering».

Ποιες είναι οι χειρουργικές επιλογές στη συριγγομυελία;

Πρώτη επιλογή είναι η αντιμετώπιση του αιτίου που διαταράσσει τη φυσιολογική ροή του ΕΝΥ. Η απευθείας παροχέτευση της συριγγομυελίας με παροχέτευση (shunt) αποτελεί παρηγορητική επιλογή μόνο όταν δεν είναι δυνατή η ανάδειξη κάποιας υποκείμενης παθολογικής αιτίας, είτε οι αρχικές επεμβάσεις αποτύχουν.

1) Αντιμετώπιση υποκείμενης αιτίας

  • Σε Chiari I: αποσυμπίεση κρανιοαυχενικής συμβολής/ινιακού τρήματος με στόχο την αποκατάσταση της φυσιολογικής ροής ΕΝΥ.
  • Σε αραχνοειδείς συμφύσεις (μετά από τραύμα/λοίμωξη/φλεγμονή): στοχευμένη αποσυμπίεση και λύση συμφύσεων όπου τεκμηριώνεται απόφραξη.
  • Σε υποψία όγκου: ογκολογική αντιμετώπιση και στοχευμένη θεραπεία (η διαχείριση διαφοροποιείται ανάλογα με την εστία).

2) Shunting συριγγομυελίας (σε επιλεγμένες περιπτώσεις)

Η παροχέτευση μπορεί να γίνει προς:

  • τον υπαραχνοειδή χώρο,
  • τις δεξαμενές του οπίσθιου κρανιακού βόθρου,
  • την περιτοναϊκή/υπεζωκοτική κοιλότητα.

Η τεχνική αυτή μπορεί να είναι χρήσιμη για να σταματήσει τη νευρολογική επιδείνωση ιδιαίτερα σε περιπτώσεις όπου η αποκατάσταση της φυσιολογικής ροής του ΕΝΥ δεν μπορεί να επιτευχθεί διαφορετικά.

Ποιες είναι οι χειρουργικές επιλογές στο tethered cord;

Η θεραπεία είναι κατά βάση χειρουργική και στοχεύει στην αποδέσμευση (detethering) του νωτιαίου μυελού από την παθολογική καθήλωση, με παράλληλη προστασία των λειτουργικών νευρικών δομών.

Detethering – βασικές αρχές

  • Αναγνώριση της αιτίας tethering (π.χ. λιπώδες τελικό νημάτιο, λιπομυελομηνιγγοκήλη, διαστηματομυελία).
  • Μικροχειρουργική αποδέσμευση με προσεκτική διατήρηση νευρικών δομών και χρήσης διεγχειρητικής νευροπαρακολούθησης.
  • Στη διατομή τελικού νηματίου: ταυτοποίηση (μέση/ραχιαία θέση, συχνά ελαφρά κυανή απόχρωση, ιδιαίτερα όταν είναι λιπώδες), έλεγχος με νευροδιέγερση πριν τη διατομή και επιμελής αιμόσταση.

Retethering & σύνθετες περιπτώσεις

Σε ασθενείς με μυελομηνιγγοκήλη ή προηγούμενα χειρουργεία, μπορεί να εμφανιστεί επανακαθήλωση. Οι επανεπεμβάσεις απαιτούν προσεκτική στάθμιση κινδύνου–οφέλους, καθώς οι ουλές/συμφύσεις από το προηγούμενο χειρουργείο αυξάνουν τη δυσκολία μικροχειρουργικής αποδέσμευσης. Σε πολύ σύνθετες περιπτώσεις, μπορεί να συζητηθούν εξειδικευμένες λύσεις (π.χ. σπονδυλική shortening οστεοτομία σε επιλεγμένα σενάρια).

Τι να περιμένετε μετά τη θεραπεία – πρόγνωση & παρακολούθηση;

Ο στόχος είναι η αναστολή της επιδείνωσης και, όπου είναι δυνατό, η βελτίωση των συμπτωμάτων. Η πρόγνωση εξαρτάται από τη διάρκεια των συμπτωμάτων και τη βαρύτητα της νευρολογικής/ουρολογικής δυσλειτουργίας πριν τη θεραπεία.

  • Συριγγομυελία:
    • Μετά από επιτυχή αποκατάσταση της ροής ΕΝΥ (π.χ. αποσυμπίεση Chiari), η συριγγομυελία συχνά μειώνεται σταδιακά.
    • Η κλινική βελτίωση μπορεί να είναι αργή, ο νευροπαθητικός πόνος δεν εξαφανίζεται πάντα πλήρως.
    • Απαιτείται επανέξεταση με MRI και συχνή νευρολογική εκτίμηση.
  • Tethered cord:
    • Στα παιδιά, η έγκαιρη μικροχειρουργική αποδέσμευση μπορεί να προστατεύσει την ανάπτυξη και τη λειτουργικότητα.
    • Οι ουρολογικές διαταραχές χρειάζονται στενή συνεργασία με ουρολόγο και, συχνά, επαναληπτικές ουροδυναμικές μελέτες.
    • Υπάρχει πιθανότητα retethering, ιδιαίτερα σε σύνθετες δυσραφικές διαταράχες.

Συχνές ερωτήσεις & πότε να ζητήσετε εξειδικευμένη γνώμη;

Η ύπαρξη συριγγομυελίας σημαίνει πάντοτε χειρουργείο;

Όχι. Η απόφαση βασίζεται στα συμπτώματα, εξέλιξη και εάν υπάρχει διορθώσιμη αιτιολογία (π.χ. Chiari I). Η στενή παρακολούθηση είναι αποδεκτή σε επιλεγμένες περιπτώσεις ασθενών που παραμένουν κλινικά σταθεροί.

Τι είναι το «cape-like» μούδιασμα στη συριγγομυελία;

Πρόκειται για απώλεια άλγους/θερμοκρασίας στην περιοχή των ώμων–άνω άκρων, που οφείλεται σε προσβολή των διασταυρούμενων ινών στο πρόσθιο τμήμα του νωτιαίου μυελού. Δεν εμφανίζεται σε όλους τους ασθενείς.

Ποιο είναι το πιο «σταθερό» σύμπτωμα σε tethered cord;

Συχνά, οι ουρολογικές διαταραχές (ακράτεια, ουρολοιμώξεις, δυσλειτουργία κένωσης κύστης) είναι από τα πιο σταθερά ευρήματα, γι’ αυτό ο ουροδυναμικός έλεγχος είναι ιδιαίτερα χρήσιμος.

Πότε πρέπει να ζητήσω άμεσα νευροχειρουργική αξιολόγηση;
  • Νέα ή προοδευτική αδυναμία, ατροφία, διαταραχές βάδισης.
  • Συμπτώματα που υποδηλώνουν νωτιαία δυσλειτουργία (σπαστικότητα, πτώσεις, αστάθεια).
  • Ακράτεια, υποτροπιάζουσες ουρολοιμώξεις ή ξαφνική επιδείνωση ουρολογικού ελέγχου.
  • Σημαντικός νευροπαθητικός πόνος ή νέο «cape-like» αισθητικό έλλειμμα.
  • Παιδί με δερματικά στίγματα δυσραφισμού στη μέση γραμμή της ράχης.

Στη Neuroknife, η αξιολόγηση συριγγομυελίας και tethered cord γίνεται με δομημένο πρωτόκολλο: λεπτομερές ιστορικό, εξειδικευμένη νευρολογική εξέταση, στοχευμένη MRI (εγκεφάλου/κρανιοαυχενικής συμβολής/σπονδυλικής στήλης), και συνεργασία με ουρολόγους, ορθοπαιδικούς, νευρολόγους όταν χρειάζεται. Στόχος είναι η σωστή διάγνωση, ο κατάλληλος προγραμματισμός και η ασφαλής επιλογή θεραπείας.

Πότε να ζητήσετε εξειδικευμένη γνώμη;

Αν υπάρχει διάγνωση συριγγομυελίας ή υποψία tethered cord και παρατηρείτε νευρολογική επιδείνωση, αλλαγές βάδισης, επίμονο νευροπαθητικό πόνο ή ουρολογικά προβλήματα, είναι κρίσιμη η αξιολόγηση από εξειδικευμένη ομάδα.

Στη Neuroknife προσφέρουμε αναλυτική εκτίμηση και πλήρη συζήτηση των επιλογών (παρακολούθηση, αντιμετώπιση αιτιολογίας, μικροχειρουργική αποδέσμευση και εξειδικευμένες τεχνικές θεραπείας), ώστε η απόφαση να είναι τεκμηριωμένη, εξατομικευμένη και ρεαλιστική.

Κλείστε ραντεβού ή ζητήστε δεύτερη γνώμη

Κλείστε Ραντεβού Επικοινωνία