Γλοιονευρωνικοί Όγκοι
Οι γλοιονευρωνικοί όγκοι αποτελούν μια ετερογενή ομάδα, εστιακών γλοιωμάτων χαμηλού βαθμού που περιλαμβάνουν—μεταξύ άλλων— το πλειομορφικό ξανθοαστροκύττωμα (PXA), τον δυσπλαστικό νευροεπιθηλιακό όγκο (DNET) και το γαγγλιογλοίωμα.
Σε αντίθεση με τα διάχυτα διηθητικά γλοιώματα χαμηλής κακοήθειας (WHO grade II), οι όγκοι αυτοί είναι συνήθως καλύτερα περιγεγραμμένοι, επιφανειακοί/φλοιϊκοί και εμφανίζονται κυρίως με επιληπτικές κρίσεις, ιδιαίτερα σε παιδιά και νεαρούς ενήλικες. Η αντιμετώπισή τους είναι κατά κανόνα χειρουργική, με στόχο τη μέγιστη ασφαλή εξαίρεση και—όπου ενδείκνυται—τη βελτίωση ή και πλήρη ύφεση των επιληπτικών κρίσεων.
Τι είναι οι γλοιονευρωνικοί όγκοι και πώς διαφέρουν από τα υπόλοιπα γλοιώματα χαμηλής κακοήθειας;
Πρόκειται για εστιακούς, συχνά φλοιϊκούς όγκους, με νευρογλοιακή και/ή νευρωνική συνιστώσα που έχουν διαφορετική βιολογία και πρόγνωση από τα διάχυτα διηθητικά γλοιώματα.
Τα διάχυτα γλοιώματα χαμηλής κακοήθειας (π.χ. WHO grade II αστροκύτωμα/ολιγοδενδρογλοίωμα) χαρακτηρίζονται από διηθητική συμπεριφορά: “επεκτείνονται” στον παρακείμενο φυσιολογικό εγκεφαλικό ιστό. Αντίθετα, αρκετοί γλοιονευρωνικοί όγκοι είναι περισσότερο εστιακοί, με σαφέστερα όρια, και συχνά προσβάλλουν επιφανειακές περιοχές του φλοιού.
Πόσο συχνοί είναι και σε ποιες ηλικίες εμφανίζονται;
Οι συγκεκριμένοι όγκοι είναι λιγότερο συχνοί από τα διάχυτα γλοιώματα χαμηλής κακοήθειας και εμφανίζονται κυρίως σε παιδιά και νεαρούς ενήλικες.
Συνολικά, οι γλοιονευρωνικοί όγκοι αποτελούν μια “μικρότερη” αλλά κλινικά σημαντική ομάδα, επειδή συχνά συνδέονται με επιληψία και έχουν συνήθως καλή πρόγνωση μετά από κατάλληλη χειρουργική αντιμετώπιση.
- PXA: συχνότερα σε παιδιά/εφήβους και νεαρούς ενήλικες.
- DNET: κλασικά σε παιδιά/εφήβους, συχνά με μακρό ιστορικό ιατροανθεκτικών κρίσεων.
- Γαγγλιογλοίωμα: κυρίως σε παιδιά/εφήβους και ιδιαίτερη συσχέτιση με κροταφική επιληψία.
Ποια είναι η τυπική κλινική εικόνα και γιατί συχνά σχετίζονται με επιληψία;
Η συχνότερη εκδήλωση είναι οι επιληπτικές κρίσεις, επειδή οι όγκοι αυτοί εντοπίζονται συχνά στον φλοιό (επιληπτογόνες περιοχές).
Συχνές εκδηλώσεις:
- Εστιακές κρίσεις (με ή χωρίς διαταραχή συνείδησης), συχνά τύπου κροταφικού λοβού.
- Δευτερογενής γενίκευση επιληπτικών κρίσεων σε ορισμένους ασθενείς.
- Σε μεγαλύτερες βλάβες: πονοκέφαλος, ναυτία ή συμπτώματα μάζας (σπανιότερα σε DNET).
- Νευρολογικά ελλείμματα εξαρτώμενα από την εντόπιση της βλάβης (λιγότερο συχνά κατά την αρχική διάγνωση).
Η επιληψία μπορεί να οφείλεται τόσο στην ίδια τη βλάβη όσο και σε συνοδό “ευερεθιστότητα” του φλοιού των ημισφαιρίων ή συνυπάρχουσα φλοιϊκή δυσπλασία, η οποία περιγράφεται συχνά ιδιαίτερα στα DNET.
Ποια είναι τα βασικά είδη (PXA, DNET, γαγγλιογλοίωμα) με απλά χαρακτηριστικά;
Αν και ανήκουν σε μία γενικότερη κατηγορία γλοιωμάτων, κάθε τύπος γλοιονευρωνικού όγκου έχει τυπικά στοιχεία που σχετίζονται με την κλινική εικόνα, τις απεικονιστικές εξετάσεις και τη βιολογική συμπεριφορά.
Πλειομορφικό Ξανθοαστροκύττωμα (PXA)
- Σπάνιος όγκος (πολύ μικρό ποσοστό των αστροκυττωμάτων).
- Συχνά επιφανειακός, υπερσκηνίδιος, με προτίμηση στον κροταφικό λοβό.
- Συχνή εκδήλωση: κρίσεις. Αν είναι μεγάλος, μπορεί να προκαλέσει συμπτώματα λόγω πίεσης.
- Μπορεί να έχει κυστικό τμήμα με τοιχωματικό οζίδιο και ποικίλη ενίσχυση.
DNET (Δυσπλαστικός Νευροεπιθηλιακός Όγκος)
- Κλασικά φλοιϊκή, καλά περιγεγραμμένη βλάβη.
- Συνδέεται με μακρό ιστορικό φαρμακοανθεκτικών κρίσεων.
- Συνήθως ελάχιστο οίδημα, μικρό/κανένα φαινόμενο μάζας και περιορισμένη πρόσληψη σκιαγραφικού.
Γαγγλιογλοίωμα
- Μικτός όγκος με νευρωνική και νευρογλοιακή προέλευση.
- Οι περισσότερες περιπτώσεις εντοπίζονται στον κροταφικό λοβό.
- Είναι από τους συχνότερους όγκους που αναγνωρίζονται σε κροταφική επιληψία.
- Συχνά παρουσιάζει επασβεστώσεις και ποικίλα κυστικά/συμπαγή στοιχεία.
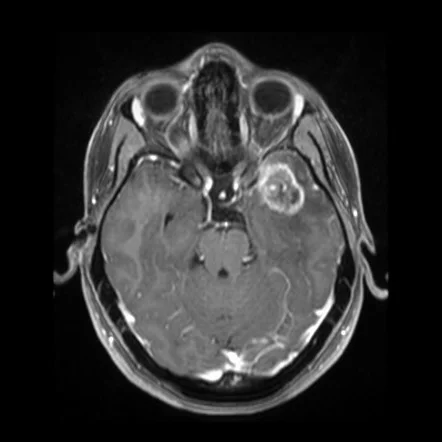
Τι δείχνουν οι εξετάσεις (MRI/CT) — “μοτίβα” που βοηθούν στην διάγνωση;
Η μαγνητική τομογραφία (MRI) με σκιαγραφικό είναι η εξέταση αναφοράς. Ορισμένα απεικονιστικά “μοτίβα” είναι ενδεικτικά, αλλά η οριστική διάγνωση παραμένει ιστολογική.
Γενικά: οι βλάβες είναι συχνά καλά οριοθετημένες και φλοιϊκές/επιφανειακές.
- PXA: συχνά κυστική βλάβη με τοιχωματικό οζίδιο, ποικίλη ενίσχυση, συχνά επιφανειακή/φλοιϊκή.
- DNET: πολυοζώδης εικόνα, μικρή ή καμία ενίσχυση, συνήθως χωρίς έντονο οίδημα ή φαινόμενα μάζας.
- Γαγγλιογλοίωμα: ετερογενής, κυστικός ή/και συμπαγής όγκος, μεταβλητή ενίσχυση, συχνές επασβεστώσεις.
Ποια είναι η σημασία της ιστοπαθολογικής εξέτασης και της WHO βαθμίδας;
Η ιστολογική διάγνωση καθορίζει τη βιολογική συμπεριφορά, τον κίνδυνο υποτροπής και το αν χρειάζεται συμπληρωματική θεραπεία.
Οι γλοιονευρωνικοί όγκοι συχνά ταξινομούνται ως χαμηλού βαθμού (π.χ. WHO grade I ή II), με αργό ρυθμό ανάπτυξης. Ωστόσο, σε ορισμένους τύπους (ιδίως στο PXA και σπανιότερα σε γαγγλιογλοίωμα) μπορεί να εμφανιστούν αναπλαστικά χαρακτηριστικά, που αλλάζουν τον τρόπο παρακολούθησης και τη θεραπευτική στρατηγική.
Η συνολική εικόνα δεν βασίζεται μόνο στην απεικόνιση. Η ιστολογική διάγνωση (και, όπου εφαρμόζεται, ο μοριακός έλεγχος) είναι καθοριστικά.
Ποια είναι η θεραπεία πρώτης γραμμής και γιατί η χειρουργική έχει κεντρικό ρόλο;
Η θεραπεία εκλογής είναι η μέγιστη ασφαλής χειρουργική εξαίρεση, η οποία μπορεί να προσφέρει μακρόχρονο ογκολογικό έλεγχο και βελτίωση των κρίσεων επιληψίας.
Σε PXA, DNET και γαγγλιογλοίωμα, η χειρουργική αντιμετώπιση:
- επιτρέπει ακριβή διάγνωση (ιστολογική επιβεβαίωση),
- μειώνει ή εξαλείφει την επιληπτογόνο εστία (ιδίως όταν αφαιρείται πλήρως η βλάβη),
- βελτιώνει την πρόγνωση, ειδικά όταν επιτυγχάνεται ολική εξαίρεση.
Τι σημαίνει “μέγιστη ασφαλής εξαίρεση” και πώς συνδέεται με έλεγχο των κρίσεων;
Στόχος είναι να αφαιρεθεί όσο το δυνατόν περισσότερος όγκος χωρίς να τεθεί σε κίνδυνο η νευρολογική λειτουργία, ενώ η πληρότητα της εξαίρεσης επηρεάζει και τον έλεγχο της επιληψίας.
Η “μέγιστη ασφαλής εξαίρεση” λαμβάνει υπόψη:
- τη σχέση του όγκου με λειτουργικά κέντρα (ομιλία, κίνηση, όραση),
- τη χαρτογράφηση (όπου χρειάζεται) και τεχνικές μικροχειρουργικής/νευροπλοήγησης,
- την πιθανή συνύπαρξη φλοιϊκής δυσπλασίας ή επιληπτογόνου ζώνης γύρω από τη βλάβη.
Σε DNET και γαγγλιογλοίωμα, η πληρότητα εξαίρεσης σχετίζεται συχνά με πολύ υψηλά ποσοστά βελτίωσης κρίσεων, ενώ σε PXA η ολική εξαίρεση βελτιώνει κυρίως τον ογκολογικό έλεγχο και μειώνει τον κίνδυνο υποτροπής.
Υπάρχει ρόλος για ακτινοθεραπεία/χημειοθεραπεία; Πότε εξετάζεται;
Στους περισσότερους γλοιονευρωνικούς όγκους η συμπληρωματική θεραπεία δεν αποτελεί “ρουτίνα”.
Γενικά, η ακτινοθεραπεία ή/και φαρμακευτική ογκολογική θεραπεία μπορεί να εξεταστούν όταν:
- η εξαίρεση είναι ατελής και υπάρχει τεκμηριωμένη υπολειμματική νόσος,
- υπάρχει υποτροπή,
- υπάρχουν αναπλαστικά χαρακτηριστικά (π.χ. PXA με αναπλαστικά στοιχεία ή σπάνια αναπλαστικό γαγγλιογλοίωμα),
- η βιολογική συμπεριφορά δείχνει πιο επιθετική πορεία.
Τι να περιμένω μετά το χειρουργείο: ανάρρωση, έλεγχος επιληψίας, παρακολούθηση;
Η μετεγχειρητική πορεία εξαρτάται από την εντόπιση της βλάβης, την έκταση της εξαίρεσης και από το αν το βασικό πρόβλημα ήταν η επιληψία ή φαινόμενα μάζας.
Συνήθως περιλαμβάνει:
- MRI επανελέγχου για τεκμηρίωση της έκτασης εξαίρεσης.
- Εξατομικευμένο πλάνο παρακολούθησης (κλινικά + απεικονιστικά).
- Για ασθενείς με επιληπτικές κρίσεις: συνεργασία με νευρολόγο για διαχείριση αντιεπιληπτικών και αξιολόγηση ύφεσης κρίσεων.
Η βελτίωση των κρίσεων μπορεί να είναι άμεση ή να χρειαστεί περισσότερο χρόνο. Η διάρκεια της φαρμακοανθεκτικής επιληψίας και η πληρότητα της χειρουργικής εκτομής καθορίζουν την πιθανότητα πλήρους ύφεσης.
Πρόγνωση και κίνδυνος υποτροπής/αναπλαστικής μετατροπής: τι γνωρίζουμε;
Συνολικά, η πρόγνωση είναι πολύ καλή, ειδικά μετά από ολική εξαίρεση της βλάβης. Ο κίνδυνος επιθετικής συμπεριφοράς του όγκου δεν είναι ο ίδιος για όλους τους τύπους.
- DNET: εξαιρετικά αργός πολλαπλασιασμός, υποτροπή μετά από πλήρη εξαίρεση είναι σπάνια και η συμπληρωματική θεραπεία συνήθως δεν έχει ρόλο.
- Γαγγλιογλοίωμα: εξαιρετική πρόγνωση με ολική εξαίρεση, αναπλαστικές μορφές έχουν αναφερθεί σπανίως (συνήθως του νευρογλοιακού τμήματος).
- PXA: γενικά καλή πρόγνωση, αλλά έχει μεγαλύτερη πιθανότητα “επιθετικής” συμπεριφοράς σε σχέση με DNET/γαγγλιογλοίωμα, ειδικά όταν υπάρχουν αναπλαστικά στοιχεία (νέκρωση/αυξημένη μιτωτική δραστηριότητα).
Συχνές ερωτήσεις & πότε να ζητήσετε δεύτερη γνώμη;
Αν οι κρίσεις μου παραμένουν φαρμακοανθεκτικές σημαίνει ότι πάντα ευθύνεται ο όγκος;
Όχι αποκλειστικά. Σε πολλούς γλοιονευρωνικούς όγκους υπάρχει επιληπτογόνος ζώνη γύρω από τη βλάβη και μπορεί να συνυπάρχει φλοιϊκή δυσπλασία. Γι’ αυτό η προεγχειρητική αξιολόγηση έχει μεγάλη σημασία.
Χρειάζεται ακτινοθεραπεία μετά το χειρουργείο;
Στους περισσότερους γλοιονευρωνικούς όγκους, όχι. Συζητείται κυρίως όταν υπάρχει υπολειμματική νόσος, υποτροπή ή αναπλαστικά χαρακτηριστικά στην ιστολογία.
Ποια είναι η εξέταση εκλογής;
Η MRI εγκεφάλου με σκιαγραφικό είναι η εξέταση αναφοράς. Η CT βοηθά κυρίως όταν υπάρχει ανάγκη ταχείας εκτίμησης ή για ανίχνευση επασβεστώσεων.
Πότε πρέπει να κινηθώ άμεσα;
- Νέες ή συχνότερες κρίσεις, επιληπτικές κρίσεις που δεν ελέγχονται.
- Νέα αδυναμία, διαταραχή ομιλίας/όρασης, διαταραχές ισορροπίας.
- Σημεία αυξημένης ενδοκράνιας πίεσης (έντονη κεφαλαλγία, ναυτία/έμετος, υπνηλία/σύγχυση).
Στην Neuroknife, η προσέγγιση είναι εξατομικευμένη, με στόχο τη μέγιστη ασφαλή εξαίρεση και το βέλτιστο έλεγχο της επιληψίας, όπου αυτό αποτελεί το κύριο κλινικό πρόβλημα.
Πότε να ζητήσετε εξειδικευμένη νευροχειρουργική εκτίμηση για γλοιονευρωνικούς όγκους;
Αν έχετε επιληψία με κρίσεις που επιμένουν παρά την σωστή φαρμακευτική αγωγή και διαγνώστηκε εστιακή βλάβη συμβατή με PXA/DNET/γαγγλιογλοίωμα, τότε η έγκαιρη νευροχειρουργική εκτίμηση βοηθά στο να σχεδιαστεί μια ασφαλής θεραπευτική στρατηγική με στόχο τον επιτυχή ογκολογικό έλεγχο και ουσιαστική βελτίωση των επιληπτικών κρίσεων.
Η τελική απόφαση βασίζεται στην εντόπιση της βλάβης, τη σχέση της με λειτουργικά κέντρα, το ιστορικό επιληψίας και την δυνατότητα ασφαλούς εξαίρεσης.
Κλείστε ραντεβού ή ζητήστε δεύτερη γνώμη© Neuroknife — Πρωτότυπο ιατρικό περιεχόμενο των ιατρών μας, παρέχεται αποκλειστικά για εκπαίδευση και ενημέρωση ασθενών.
